لومینیرز دندان چیست؟
صفحه اصلی » مقالات دندانپزشکی زیبایی » لومینیرز دندان چیست؟

مواردی که در این مطلب میخوانید
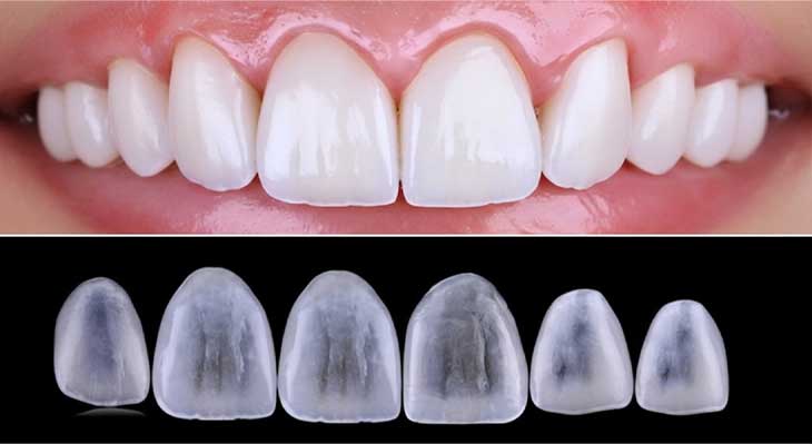
لومینیرز دندان یک پوسته سرامیکی بسیار نازک است. این روکش برای اصلاح ظاهر دندان ها طراحی شده است. ضخامت آن به اندازه لنز تماسی چشم است. نصب آن معمولاً نیازی به تراشیدن دندان ندارد. این روش یکی از بهترین انواع روش های زیبایی دندان به شمار می رود. به همین دلیل فرایند درمان کاملاً بدون درد و برگشت پذیر است. لومینیرز می تواند مشکلاتی نظیر لکه ها، فاصله جزئی و ناهمواری های کوچک را بپوشاند. نتیجه نهایی لبخندی درخشان و بی نقص خواهد بود.
کلینیک دندانپزشکی ترایدنتال به عنوان مرکز تخصصی زیبایی و درمانی، با حضور بهترین دندانپزشک فرمانیه، آماده ارائه مشاوره و خدمات در زمینه لومینیرز دندان است.
هزینه مشاوره، ویزیت و همچنین عکس برداری در کلینیک ترایدنتال رایگان است.
آدرس: تجریش، خیابان مقدس اردبیلی، خیابان پسیان جنوبی، پلاک 14، برج الماس، واحد 87
تلفن: 02126355216

فرم مشاوره آنلاین
کلینیک دندانپزشکی تریدنتال، برای رفاه حال شما عزیزان، امکان مشاوره آنلاین و رایگان را فراهم کرده است.
لومینیرز دندان چیست؟
لومینیرز دندان یک برند خاص و ثبت شده از ونیر های پرسلنی (سرامیکی) است. این روکش ها به دلیل ضخامت بسیار کم خود شهرت جهانی دارند. ضخامت آن ها تنها حدود ۰.۲ میلیمتر می باشد. این ویژگی منحصر به فرد، نصب آن ها را بدون نیاز به تراشیدن مینای دندان ممکن می سازد. در نتیجه، ساختار طبیعی دندان های شما به طور کامل حفظ می شود. این روش برای افرادی مناسب است که می خواهند اصلاحات ظاهری در طرح لبخند خود ایجاد کنند. دکتر هانیه حقیقی جراح دندانپزشک، فلوشیپ زیبایی به عنوان دندانپزشک زیبایی در تهران و بهترین دکتر لمینت دندان، این درمان را با مهارت ارائه می دهد.
این پوسته های نازک از نوعی سرامیک خاص به نام Cerinate ساخته می شوند. این ماده انحصاری، استحکام بالا و شفافیتی شبیه به مینای دندان طبیعی دارد. به همین خاطر، نتیجه کار بسیار زیبا و طبیعی به نظر می رسد. فرایند نصب لومینیرز دندان معمولاً طی دو جلسه انجام می شود. این سرعت عمل، آن را به گزینه ای عالی برای رسیدن به لبخندی زیبا در کوتاه ترین زمان تبدیل کرده است. این روش درمانی می تواند رنگ، فرم و اندازه دندان ها را به خوبی بهبود بخشد.
هدف اصلی لومینیرز دندان، دستیابی به لبخندی هالیوودی با کمترین دستکاری ممکن است. چون دندان تراش نمیخورد، فرایند کاملاً برگشت پذیر محسوب می شود. شما می توانید هر زمان که بخواهید، لومینیرز را بردارید. دندان های شما به حالت اولیه خود باز خواهند گشت. برای دریافت اطلاعات کامل تر، می توانید از خدمات مشاوره رایگان دندانپزشکی در کلینیک ما بهرهمند شوید. این جلسه تخصصی به شما در تصمیم گیری بهتر کمک شایانی خواهد کرد.
مزایای لومینیرز دندان
لومینیرز دندان به دلیل عدم نیاز به آماده سازی تهاجمی، مزایای قابل توجهی دارد. این ویژگی ها آن را از سایر ونیر های سنتی به عنوان یک لمینت دندان بدون تراش متمایز می کند.
- حفظ کامل ساختار دندان طبیعی: این روکش بدون تراشیدن مینای سالم دندان شما نصب می شود.
- فرایند درمانی بدون درد و استرس: عدم نیاز به تراش و تزریق بی حسی، تجربه خوشایند برای بیمار ایجاد می کند.
- امکان بازگشت به حالت اولیه: چون ساختار دندان دست نخورده باقی می ماند، این روش کاملاً برگشت پذیر است.
- کاهش حساسیت دندان پس از نصب: بیمار پس از نصب ونیر دچار حساسیت به سرما و گرما نخواهد شد.
آشنا شوید: لمینت برلیانس چیست؟
لومینیرز دندان: یک لمینت سرامیکی پیشرفته
لومینیرز دندان نوعی لمینت سرامیکی فوق العاده با کیفیت و مدرن است. این ونیر ها از پرسلن انحصاری و ثبت شده Cerinate تولید می شوند. این ماده خاص، ترکیبی بی نظیر از استحکام و زیبایی را فراهم می کند. شفافیت آن بسیار شبیه به مینای دندان است. این ویژگی باعث می شود نور از آن عبور کرده و ظاهری کاملاً طبیعی ایجاد شود.
استحکام بالای این سرامیک اجازه می دهد تا در ضخامت بسیار کم نیز مقاوم باشد. این پوسته ها در برابر لکه پذیری ناشی از مصرف چای، قهوه و سایر مواد غذایی مقاوم هستند. رنگ آن ها در طول زمان ثابت باقی می ماند. این ثبات رنگ به حفظ زیبایی لبخند شما برای سال های طولانی کمک می کند. دوام و ماندگاری بالای آن یک سرمایه گذاری عالی برای زیبایی شماست.
آشنایی با انواع لمینت دندان و جایگاه لومینیرز در میان آن ها
لمینت های دندانی در انواع مختلفی برای اصلاح طرح لبخند وجود دارند. شناخت انواع لمینت دندان و تفاوت های آن ها به شما در انتخابی آگاهانه کمک می کند.
- لمینت های سرامیکی (پرسلنی) سنتی: این نوع نیازمند تراشیدن بخشی از مینای دندان برای نصب است.
- لومینیرز (لمینت بدون تراش): یک برند خاص از لمینت سرامیکی است که نیازی به تراش دندان ندارد.
- ونیرهای کامپوزیتی: این ونیر ها به صورت مستقیم توسط دندانپزشک روی دندان ها فرم داده می شوند.
- لمینت های فلدسپاتیک و ایمکس: این موارد از انواع دیگر لمینت های سرامیکی با ویژگی های متفاوت هستند.

تفاوت لومینیرز با سایر لمینت ها
لومینیرز یکی از انواع لمینت های دندانی است که به دلیل ضخامت بسیار کم و نیاز حداقلی به تراش دندان، از سایر لمینت ها متمایز می شود. در حالی که لمینت های معمولی اغلب نیاز به تراش بخشی از مینای دندان دارند تا فضای کافی برای قرارگیری روکش ایجاد شود، لومینیرز معمولاً بدون تراش یا با تراش بسیار جزئی نصب می شود. این ویژگی باعث می شود ساختار طبیعی دندان بیشتر حفظ شود و روند درمان راحت تر و محافظه کارانه تر باشد.
تفاوت دیگر این است که لومینیرز به دلیل نازکی و شفافیت بالا، ظاهری بسیار طبیعی ایجاد می کند و برای بیمارانی مناسب است که به دنبال اصلاح رنگ و فرم دندان ها بدون تغییر محسوس در حجم دندان هستند. در مقابل، لمینت های ضخیم تر معمولاً برای پوشاندن مشکلات شدیدتر مثل شکستگی های بزرگ یا تغییر رنگ های خیلی عمیق به کار می روند. بنابراین انتخاب بین لومینیرز و سایر لمینت ها به شرایط دندان و هدف زیبایی بیمار بستگی دارد.
بیشتر بدانید: تفاوت لمینت با بلیچینگ دندان
کاندیدای لومینیرز دندان
لومینیرز دندان برای افرادی مناسب است که به دنبال اصلاح طرح لبخند بدون تراش زیاد دندان و با روشی محافظه کارانه هستند. این روش به دلیل ضخامت بسیار کم و ظاهر طبیعی، برای بیمارانی ایده آل است که می خواهند تغییرات ظریف و زیبایی چشمگیر را بدون آسیب به مینای دندان تجربه کنند. البته تشخیص قطعی مناسب بودن لومینیرز پس از معاینه دقیق توسط دندانپزشک امکان پذیر است.
کاندیداهای مناسب لومینیرز دندان:
- افرادی که دندان هایشان تغییر رنگ شدید داشته یا با سفیدکننده اصلاح نمی شود
- کسانی که دندان هایشان ترک، لب پریدگی یا ساییدگی سطحی دارد
- بیمارانی با نامرتبی خفیف یا فاصله کم بین دندان ها
- افرادی که به دنبال اصلاح فرم و اندازه دندان ها بدون تراش زیاد هستند
- کسانی که مینای دندان سالم و بهداشت دهانی مناسبی دارند
- بیمارانی که می خواهند روشی بادوام، طبیعی و بدون دردسر داشته باشند
چه کسانی نباید لومینیرز انجام دهند؟
لومینیرز دندان با وجود مزایای فراوان، برای همه افراد مناسب نیست. کسانی که مشکلات جدی در سلامت دندان یا لثه دارند یا به دلیل شرایط خاص نمیتوانند مراقبتهای لازم را انجام دهند، بهتر است از این روش استفاده نکنند تا از آسیب های احتمالی و نتایج نامطلوب جلوگیری شود.
افرادی که نباید لومینیرز انجام دهند:
- کسانی که دچار پوسیدگی گسترده یا بیماری فعال لثه هستند
- بیمارانی با دندان قروچه شدید که ممکن است به لومینیرز آسیب بزنند
- افرادی که مینای دندان بسیار ضعیف یا آسیب دیده دارند
- کسانی که بهداشت دهان و دندان را رعایت نمیکنند
- بیمارانی که نامرتبی شدید یا مشکلات اساسی فک دارند و به ارتودنسی نیازمندند
- افرادی که انتظارات غیرواقع بینانه از نتیجه درمان دارند
بهترین سن برای انجام لومینیرز دندان و نکات مهم قبل از درمان
برای نصب لومینیرز نیز مانند سایر روش های زیبایی دندان، بهتر است تا پایان سن رشد صبر کرد. بهترین زمان معمولاً پس از ۱۸ سالگی است، زمانی که رشد فک و صورت کامل شده و موقعیت دندان ها و لثه ها به ثبات رسیده است. انجام لومینیرز در سنین پایین تر می تواند به دلیل تغییرات احتمالی در ساختار فک و دندان، نیاز به ترمیم یا تعویض زودهنگام داشته باشد.
- تکمیل رشد فک و صورت: توقف رشد موجب پایداری طولانی مدت نتایج درمان می شود.
- سلامت کامل لثه ها: لثه های بدون التهاب و عفونت، موفقیت درمان را تضمین می کنند.
- رفع مشکلات دندانی قبل از درمان: پوسیدگی یا بیماری های دهانی باید قبل از نصب لومینیرز برطرف شوند.
- عادات دهانی بیمار: دندان قروچه شدید یا فشار زیاد به دندان ها می تواند به لومینیرز آسیب بزند.
- تعهد به رعایت بهداشت دهان: افرادی که بهداشت دهانی خود را به خوبی رعایت می کنند، نتایج ماندگارتری خواهند داشت.
لومینیرز به دلیل نازک بودن و نیاز حداقلی به تراش دندان، روشی محافظه کارانه و مناسب برای جوانان و بزرگسالان است که می خواهند لبخندی طبیعی و زیبا داشته باشند، اما انتخاب نهایی باید پس از مشاوره دقیق با دندانپزشک زعفرانیه انجام شود.
بیشتر بدانید: بهترین سن لمینت دندان
قیمت لومینیرز دندان
لومینیرز به دلیل تکنولوژی خاص و ضخامت فوق العاده کم، معمولاً بالاترین هزینه را در بین روش های زیبایی دندان دارد. این روش نسبت به لمینت های سرامیکی و کامپوزیتی گرانتر است، زیرا علاوه بر ظاهر طبیعی و مقاومت بالا، به تراش حداقلی دندان نیاز دارد و ساختار طبیعی دندان بیشتر حفظ میشود.
در مقابل، لمینت های سرامیکی استاندارد و پیشرفته هزینه ای متوسط دارند و برای کسانی مناسب اند که به دنبال تعادل بین قیمت و دوام هستند. کامپوزیت ونیر نیز کم هزینه ترین روش محسوب میشود اما از نظر طول عمر و جلوه ظاهری در سطح لومینیرز قرار نمیگیرد.
جدول مقایسه هزینه لومینیرز با سایر روش ها
| روش درمانی | هزینه | توضیحات |
|---|---|---|
| لومینیرز | ⭐⭐⭐⭐⭐ | بیشترین هزینه – نازک، بدون تراش یا با تراش بسیار کم، ظاهر بسیار طبیعی |
| لمینت سرامیکی پیشرفته (ایمکس، زیرکونیا) | ⭐⭐⭐⭐ | دوام و زیبایی بالا با هزینه کمتر از لومینیرز |
| لمینت سرامیکی معمولی | ⭐⭐⭐ | کیفیت مناسب و قیمت متوسط |
| کامپوزیت ونیر | ⭐⭐ | کم هزینه ترین روش، نصب سریع اما دوام و زیبایی کمتر |
مراحل نصب لومینیرز دندان
فرایند نصب لومینیرز دندان علاوه بر سادگی و سرعت بالا، به دلیل حداقل نیاز به تراش دندان ها روشی محافظه کارانه و ایمن محسوب می شود. این مراحل معمولاً توسط بهترین دندانپزشکان شمال تهران با دقت و مهارت بالا انجام می شود تا نه تنها زیبایی لبخند ایجاد گردد، بلکه مشکلاتی مانند نامرتبی خفیف یا تغییر رنگ های شدید نیز اصلاح شود. استفاده از تجهیزات مدرن و همکاری با لابراتوارهای رسمی لومینیرز باعث می شود که پوسته های سرامیکی فوق نازک دقیقاً متناسب با دندان های بیمار ساخته شوند و نتیجه ای طبیعی و بادوام به دست آید.
مراحل نصب لومینیرز به صورت کامل و تخصصی
- جلسه مشاوره و قالب گیری اولیه: ابتدا دندانپزشک وضعیت سلامت دندان ها، لثه ها و نیازهای زیبایی شما را ارزیابی می کند و از دندان ها قالب دقیق تهیه می شود.
- ارسال قالب به لابراتوار تخصصی: قالب تهیه شده به لابراتوار رسمی لومینیرز در آمریکا ارسال می شود تا پوسته های سرامیکی بر اساس آن طراحی و ساخته شوند.
- ساخت ونیر های اختصاصی بیمار: لابراتوار با استفاده از فناوری پیشرفته، لومینیرزهای فوق نازک و مقاوم را به صورت کاملاً شخصی سازی شده آماده می کند تا دقیقاً بر روی دندان های شما منطبق باشند.
- جلسه نصب و باندینگ نهایی: در جلسه دوم، بدون تراش یا با تراش بسیار جزئی دندان ها، پوسته ها با چسب های مخصوص و مقاوم روی دندان ها نصب می شوند و لبخند جدید و درخشان شما تکمیل می گردد.
به دلیل دقت بالا در مراحل طراحی و نصب، این روش نه تنها دردسر و ناراحتی کمتری نسبت به لمینت های سنتی دارد، بلکه ماندگاری و جلوه طبیعی آن نیز بسیار چشمگیر است.
بیشتر بدانید: لمینت برای دندان کج و نامرتب
مقایسه لومینیرز دندان با لمینت سرامیکی سنتی
| ویژگی | لومینیرز دندان | لمینت سرامیکی سنتی |
| میزان تراش دندان | بدون نیاز به تراش یا حداقل تراش | نیاز به تراشیدن ۰.۵ تا ۰.۷ میلیمتر |
| ضخامت ونیر | بسیار نازک (حدود ۰.۲ میلیمتر) | ضخیم تر (حدود ۰.۵ میلیمتر) |
| برگشت پذیری درمان | کاملاً برگشت پذیر | غیرقابل بازگشت |
| نیاز به بی حسی | معمولاً بدون نیاز به تزریق | همیشه نیازمند بی حسی |
| مدت زمان درمان | کوتاه تر (معمولاً دو جلسه) | طولانی تر (نیاز به جلسه تراش و روکش موقت) |
آدرس کلینیک:
زعفرانیه، خیابان مقدس اردبیلی، خیابان پسیان جنوبی، پلاک 14، برج الماس، واحد 87
تلفن:
021-26355216
مشاوره و رزرو وقت:
برای گرفتن مشاوره رایگان، فرم در این صفحه را پر کنید...
تفاوت لومینیرز و کامپوزیت دندان
لومینیرز و کامپوزیت هر دو از روش های محبوب برای اصلاح طرح لبخند هستند اما تفاوت های اساسی دارند. لومینیرز پوسته های سرامیکی فوق نازکی است که در لابراتوارهای تخصصی ساخته شده و با کمترین تراش یا حتی بدون تراش روی دندان نصب می شود. این روش ظاهر بسیار طبیعی و ماندگاری بالایی دارد و به دلیل کیفیت ساخت و دوام بیشتر، گزینه ای لوکس تر محسوب می شود.
در مقابل، کامپوزیت ونیر به طور مستقیم توسط دندانپزشک روی دندان شکل داده می شود و هزینه بسیار پایین تری نسبت به لومینیرز دارد. اگرچه کامپوزیت برای اصلاح سریع و اقتصادی لبخند مناسب است، اما از نظر دوام، مقاومت در برابر رنگ پذیری و جلوه طبیعی، به اندازه لومینیرز نیست و ممکن است در طول زمان نیاز به ترمیم یا پولیش داشته باشد.
بیشتر بدانید: تفاوت لمینت و کامپوزیت دندان
عوارض لومینیرز دندان
لومینیرز دندان یکی از ایمن ترین روش های زیبایی دندانپزشکی است. با این حال، بررسی مهمترین عوارض لمینت دندان به شما دید واقع بینانه ای می دهد. اگر لومینیرز به درستی نصب نشود، ممکن است لبه های آن باعث تجمع پلاک و التهاب لثه شود. انتخاب دندانپزشک ماهر این خطر را به حداقل می رساند.
- احتمال حجیم به نظر رسیدن دندان ها: چون تراشی صورت نمیگیرد، ممکن است کمی به حجم دندان اضافه شود.
- عدم پوشش لکه های بسیار تیره: ضخامت کم لومینیرز شاید نتواند تیرگی های شدید را کاملاً بپوشاند.
- احتمال شکستگی یا لب پریدگی: مانند دندان طبیعی، این ونیر ها نیز در اثر ضربه شدید ممکن است آسیب ببینند.
- مشکلات بایت در صورت نصب نادرست: نصب غیر اصولی می تواند روی نحوه قرارگیری دندان ها تاثیر بگذارد.
لومینیرز دندان چقدر دوام دارد؟
یکی از سوالات متداول بیماران در مورد ماندگاری این درمان است. لومینیرز دندان چقدر دوام دارد؟ مطالعات بالینی نشان دادند که لومینیرز می تواند بیش از ۲۰ سال عمر کند. این دوام بالا به دلیل کیفیت سرامیک به کار رفته و فرایند باندینگ قوی آن است. البته طول عمر آن به مراقبت های بیمار نیز بستگی زیادی دارد.
برای افزایش عمر لومینیرز، باید بهداشت دهان و دندان را به خوبی رعایت کنید. استفاده منظم از مسواک و نخ دندان ضروری است. همچنین، باید از شکستن اجسام سخت با دندان های خود پرهیز کنید. معاینات دوره ای دندانپزشکی به حفظ سلامت لومینیرز و دندان های شما کمک می کند. این مراقبت ها تضمین کننده لبخندی زیبا برای سالیان دراز خواهد بود.
روکش دندان بهتر است یا لومینیرز دندان؟
این دو درمان کاربردهای کاملاً متفاوتی دارند. مقایسه اینکه روکش دندان بهتر است یا لمینت دندان؟ به وضعیت دندان شما بستگی دارد. لمینت (و لومینیرز) یک درمان زیبایی است. این پوسته نازک فقط سطح جلویی دندان را برای بهبود ظاهر می پوشاند. این روش برای دندان هایی که ساختار سالمی دارند، مناسب است.
- کاربرد اصلی لمینت (لومینیرز): اصلاح رنگ، فرم، فاصله و شکستگی های جزئی در دندان های سالم.
- کاربرد اصلی روکش (کراون): بازسازی دندان هایی که به شدت تخریب، شکسته یا عصب کشی شدند.
- میزان تراش دندان برای روکش: روکش تمام سطوح دندان را می پوشاند و نیاز به تراش گسترده دارد.
- هدف درمانی روکش: بازگرداندن عملکرد و استحکام دندان آسیب دیده.

آیا تغییر رنگ لمینت دندان در لومینیرز امکان پذیر است؟
یکی از مزایای بزرگ لومینیرز دندان، مقاومت بالای آن در برابر تغییر رنگ است. سطح سرامیکی آن برخلاف مینای دندان طبیعی، متخلخل نیست. این ویژگی باعث می شود که رنگدانه های موجود در مواد غذایی به آن نفوذ نکنند. بنابراین، تغییر رنگ لمینت دندان به ندرت اتفاق می افتد و رنگ آن برای سال ها ثابت باقی می ماند.
با این حال، باید توجه داشت که چسبی که برای چسباندن لمینت استفاده می شود، ممکن است در طول زمان کمی تغییر رنگ دهد. این اتفاق معمولاً در لبه های لمینت رخ می دهد. رعایت بهداشت و مراجعه منظم به دندانپزشک برای پالیش، از این مشکل جلوگیری می کند. همچنین، سیگار کشیدن می تواند باعث ایجاد لکه در لبه های ونیر شود.
مراقبت های ضروری پس از نصب لومینیرز دندان
برای حفظ زیبایی و افزایش طول عمر لومینیرز دندان، رعایت برخی نکات ضروری است. مراقبت از لومینیرز تفاوتی با مراقبت از دندان های طبیعی ندارد. جرم گیری دندان لمینت شده نیز باید به صورت دوره ای توسط دندانپزشک انجام شود تا سلامت لثه ها حفظ گردد.
- رعایت بهداشت دهان و دندان روزانه: حداقل دو بار مسواک زدن و استفاده روزانه از نخ دندان.
- استفاده از خمیردندان های غیر ساینده: خمیردندان های حاوی مواد ساینده قوی می توانند سطح لمینت را خراش دهند.
- پرهیز از عادات غذایی آسیب رسان: از شکستن پسته، تخمه و یخ با دندان های جلویی خودداری کنید.
- استفاده از نایت گارد در صورت دندان قروچه: این وسیله از وارد آمدن فشار بیش از حد به لمینت ها جلوگیری می کند.
- مراجعات منظم به دندانپزشک: چکاپ های ۶ ماهه برای بررسی وضعیت لمینت و سلامت دهان ضروری است.
مقایسه لومینیرز دندان با لمینت ایمکس Emax
لومینیرز و ایمکس هر دو از برند های مطرح لمینت های سرامیکی هستند. لمینت ایمکس Emax از ماده لیتیوم دی سیلیکات ساخته شده است. این ماده استحکام فوق العاده بالایی دارد. به همین دلیل، ایمکس نیز می تواند در ضخامت های کم ساخته شود. اما معمولاً نیاز به مقدار کمی تراش دندان دارد.
انتخاب بین این دو به تشخیص دندانپزشک و شرایط دندان های شما بستگی دارد. ایمکس به دلیل استحکام بالاتر، ممکن است برای افرادی که دندان قروچه خفیف دارند، گزینه بهتری باشد. از طرف دیگر، لومینیرز دندان به دلیل عدم نیاز به تراش، یک روش محافظه کارانه تر محسوب می شود. هر دو گزینه نتایج زیبایی فوق العاده ای را ارائه می دهند.
چگونه بهترین رنگ برای لومینیرز انتخاب کنیم؟
انتخاب رنگ مناسب، کلید دستیابی به یک لبخند طبیعی و زیباست. بهترین رنگ لمینت دندان رنگی است که با رنگ پوست، چشم و موی شما هماهنگی داشته باشد. انتخاب رنگ های بسیار سفید و غیرطبیعی، ظاهر مصنوعی ایجاد می کند. دندانپزشک زیبایی در این زمینه شما را راهنمایی خواهد کرد.
- توجه به رنگ سفیدی چشم: رنگ دندان ها نباید از سفیدی چشم شما روشن تر باشد.
- در نظر گرفتن رنگ پوست: رنگ های طبیعی و گرم برای پوست های گندمی مناسب تر هستند.
- مشورت با دندانپزشک متخصص زیبایی: تجربه دندانپزشک در انتخاب رنگ متناسب با چهره شما بسیار مهم است.
- مشاهده نمونه کارها و استفاده از شید گاید: دندانپزشک نمونه رنگ ها را روی دندان شما قرار می دهد تا انتخاب آسان تر شود.
جدول بررسی مزایا و معایب لومینیرز دندان
| ویژگی | مزایا | معایب |
| زیبایی | ظاهر بسیار طبیعی و شفاف | عدم پوشش کامل لکه های بسیار تیره |
| سلامت دندان | حفظ کامل مینای دندان | احتمال تجمع پلاک در صورت نصب نادرست |
| فرایند درمان | بدون درد و نیاز به بی حسی | هزینه بالاتر نسبت به کامپوزیت |
| دوام و ماندگاری | طول عمر بالا (بیش از ۲۰ سال) | احتمال لب پریدگی در اثر ضربه شدید |
| برگشت پذیری | کاملاً برگشت پذیر | احتمال حجیم به نظر رسیدن دندان ها |
خدمات زیبایی کلینیک دندانپزشکی ترایدنتال:
- کامپوزیت دندان: اصلاح فرم و رنگ دندان ها در یک جلسه با مواد رزینی.
- لمینت دندان: پوسته های نازک سرامیکی برای ایجاد لبخندی زیبا و دائمی.
- ایمپلنت دندان: کاشت ریشه مصنوعی برای جایگزینی دائمی دندان از دست رفته.
- بلیچینگ دندان: روشی برای سفید کردن و روشن تر کردن رنگ طبیعی دندان ها.
- لیفت لثه: افزایش طول تاج دندان ها برای ایجاد لبخندی زیباتر و متناسب.
خدمات دندانپزشکی عمومی ترایدنتال:
- جرم گیری دندان: پاکسازی پلاک و جرم از روی دندان ها برای حفظ سلامت لثه.
- عصب کشی دندان: درمان ریشه دندان آسیب دیده برای رفع درد و حفظ دندان.
- درمان ریشه دندان: پاکسازی کانال های ریشه از عفونت و بافت های آسیب دیده.
- ترمیم دندان: پر کردن پوسیدگی ها با مواد همرنگ دندان برای بازگرداندن عملکرد.
- روکش زیرکونیوم: روکشی مقاوم و زیبا برای دندان های به شدت تخریب شده.
همین الان یک مشاوره رایگان با ما داشته باشید...
نتیجه گیری
لومینیرز دندان یک راه حل مدرن، ایمن و محافظه کارانه برای اصلاح طرح لبخند است. این روش با حذف مرحله تراش دندان، تجربه درمانی بدون درد و استرس را فراهم می کند. حفظ ساختار دندان طبیعی بزرگترین مزیت آن است. اگر به دنبال پاسخی برای این سوال هستید که لمینت دندان چه مزایایی دارد؟، لومینیرز بهترین نمونه است. این ونیر فوق نازک می تواند لبخندی درخشان و ماندگار به شما هدیه دهد. انتخاب یک دندانپزشک متخصص و باتجربه، کلید موفقیت این درمان زیبایی است.
سوالات متداول
تفاوت اصلی لومینیرز با لمینت های معمولی چیست؟
اصلی ترین تفاوت در ضخامت و عدم نیاز به تراش دندان است. لومینیرز بسیار نازک تر بوده و بدون آسیب به مینای دندان نصب می شود.
آیا نصب لومینیرز دندان دردناک است؟
خیر. چون در این روش معمولاً دندان تراشیده نمیشود و نیازی به تزریق آمپول بی حسی نیست، فرایند کاملاً بدون درد است.
چگونه بهترین رنگ برای لومینیرز دندان انتخاب می شود؟
انتخاب رنگ با مشورت دندانپزشک و با توجه به رنگ پوست و سفیدی چشم شما انجام می شود. تفاوت رنگ دندان a1 و b1 و سایر شید ها توسط دندانپزشک برای شما توضیح داده می شود تا طبیعی ترین انتخاب را داشته باشید.
آیا لومینیرز برای همه افراد مناسب است؟
خیر. این روش برای اصلاحات جزئی مانند بستن فاصله های کم، پوشاندن لکه ها و ترمیم شکستگی های کوچک مناسب است.
فرایند نصب لومینیرز دندان چقدر زمان می برد؟
سوال لمینت دندان چقدر طول میکشد؟ برای بسیاری از افراد مهم است. فرایند لومینیرز معمولاً در دو جلسه با فاصله حدود دو تا سه هفته (زمان لازم برای ساخت در لابراتوار) انجام می شود.
به اشتراک بگذارید!
به مشاوره نیاز دارید؟
جهت دریافت مشاوره رایگان و تعیین وقت حضوری با ما تماس بگیرید.


