تراش دندان برای لمینت
صفحه اصلی » مقالات لمینت دندان » تراش دندان برای لمینت

مواردی که در این مطلب میخوانید
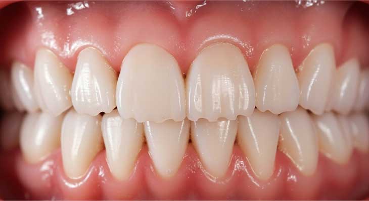
تراش دندان برای لمینت یکی از مراحل اصلی و حساس در فرایند نصب لمینت های سرامیکی است. در این مرحله، دندانپزشک لایه بسیار نازکی از سطح مینای دندان را بر می دارد تا فضای کافی برای قرارگیری پوسته لمینت ایجاد شود. این کار به چسبندگی بهتر و جلوگیری از حجیم به نظر رسیدن دندان ها کمک می کند. میزان تراش بسیار کم و در حد چند دهم میلی متر است. هدف، دستیابی به نتیجه ای زیبا و در عین حال حفظ حداکثری ساختار سالم دندان می باشد.
کلینیک دندانپزشکی ترایدنتال به عنوان مرکز تخصصی دندانپزشکی زیبایی، با حضور بهترین دندانپزشک زعفرانیه، آماده ارائه مشاوره و خدمات در زمینه تراش برای لمینت دندان با حداقل میزان تهاجم است.
هزینه مشاوره، ویزیت و همچنین عکس برداری در کلینیک ترایدنتال رایگان است.
آدرس: تجریش، خیابان مقدس اردبیلی، خیابان پسیان جنوبی، پلاک 14، برج الماس، واحد 87
تلفن: 02126355216

فرم مشاوره آنلاین
کلینیک دندانپزشکی تریدنتال، برای رفاه حال شما عزیزان، امکان مشاوره آنلاین و رایگان را فراهم کرده است.
تراش دندان برای لمینت چیست؟
تراش دندان برای لمینت فرایندی است که در آن دندانپزشک، یک لایه بسیار نازک از سطح خارجی مینای دندان را با استفاده از ابزارهای دقیق دندانپزشکی بر می دارد. این کار با دو هدف اصلی انجام می شود. اول، ایجاد فضای کافی برای قرار گرفتن پوسته نازک لمینت، به طوری که پس از نصب، دندان ها حجیم و برجسته به نظر نرسند. دوم، ایجاد یک سطح کمی زبر برای افزایش قدرت چسبندگی و اتصال لمینت به دندان. دکتر هانیه حقیقی جراح دندانپزشک، فلوشیپ زیبایی به عنوان دندانپزشک زیبایی در تهران، این مرحله را با دقت و مهارت بسیار بالا انجام می دهد.
میزان تراش در این روش بسیار محافظه کارانه و مینیمال است. این مقدار معمولا بین ۰.۳ تا ۰.۷ میلی متر، یعنی به ضخامت یک پوسته تخم مرغ، محدود می شود. این فرایند تحت بی حسی موضعی انجام می شود تا بیمار هیچ گونه دردی احساس نکند. برای دریافت اطلاعات کامل تر و بررسی شرایط دندان های خود، می توانید از خدمات مشاوره رایگان دندانپزشکی در کلینیک ما بهرمند شوید.
جدی بگیرید: التهاب لثه | لمینت دندان در بارداری
اهمیت تراش دندان برای لمینت
شاید به نظر برسد که تراشیدن بخشی از دندان سالم کار درستی نیست، اما این مرحله برای موفقیت درمان لمینت کاملا ضروری و حیاتی است. درک دلایل این کار به کاهش نگرانی بیماران کمک شایانی می کند. لمینت دندان بدون تراش تنها در شرایط بسیار خاصی امکان پذیر است.
- ایجاد فضای لازم برای لمینت
بدون تراش، اضافه شدن پوسته لمینت باعث برجسته و غیر طبیعی شدن دندان ها می شود. - افزایش قدرت چسبندگی
تراش، سطحی ایده آل برای اتصال شیمیایی و مکانیکی قوی بین دندان و لمینت فراهم می کند. - اصلاح فرم و شکل دندان
دندانپزشک می تواند با استفاده از تراش، نامرتبی های جزئی و لبه های ناهموار دندان را قبل از نصب لمینت اصلاح کند. - حذف لایه سطحی مینا
این کار باعث حذف هرگونه لکه سطحی و ایجاد یک سطح تمیز برای اتصال بهتر می شود.
یاد بگیرید: هوم بلیچینگ | افتادن یا شکستن لمینت دندان
میزان تراش دندان برای لمینت چقدر است؟
یکی از بزرگترین نگرانی های بیماران، میزان تراش دندان برای لمینت است. بسیاری تصور می کنند که دندان آن ها به شدت کوچک خواهد شد. اما واقعیت این است که میزان تراش در این روش بسیار کم و محافظه کارانه است. مقدار دقیق تراش به عوامل مختلفی از جمله موقعیت دندان، میزان نا مرتبی و نوع لمینت انتخابی بستگی دارد. انواع لمینت دندان نیاز به مقادیر متفاوتی از تراش دارند. به طور متوسط، میزان تراش بین ۰.۳ تا ۰.۷ میلی متر از سطح جلویی دندان است. این مقدار تقریبا معادل ضخامت پوسته نازک لمینت سرامیکی است که قرار است جایگزین آن شود. هدف، جایگزینی لایه برداشته شده با لایه جدید سرامیکی است، نه کوچک کردن کلی دندان.
آشنا شوید: لمینت برلیانس چیست؟ | بهترین برند لمینت دندان
آیا تراش دندان برای لمینت درد دارد؟
پاسخ کوتاه به این سوال، خیر است. فرایند تراش دندان برای لمینت تحت بی حسی کامل موضعی انجام می شود. دندانپزشک قبل از شروع هر کاری، با تزریق داروی بی حسی، ناحیه مورد نظر را کاملا بی حس می کند تا بیمار در طول فرایند هیچ گونه دردی احساس نکند. درد کامپوزیت دندان ممکن است پس از درمان به دلیل حساسیت ایجاد شود، اما حین تراش لمینت دردی وجود ندارد.
- استفاده از بی حسی موضعی
تزریق داروی بی حسی، هرگونه حس درد را در طول فرایند تراش به طور کامل از بین می برد. - حساسیت پس از درمان
پس از برطرف شدن اثر بی حسی، ممکن است حساسیت خفیف و موقتی به سرما و گرما ایجاد شود. - استفاده از روکش موقت
روکش موقت از دندان تراش خورده محافظت کرده و میزان حساسیت را به حداقل می رساند. - کنترل حساسیت
این حساسیت معمولا پس از چند روز و با نصب لمینت دائمی به طور کامل برطرف خواهد شد.
بیشتر بدانید: آیا روکش دندان درد دارد؟

تراش دندان برای لمینت های مختلف
میزان تراش دندان برای لمینت می تواند بسته به نوع لمینت سرامیکی که انتخاب می شود، متفاوت باشد. تکنولوژی های جدیدتر امکان ساخت لمینت های نازک تر و در عین حال مستحکم تر را فراهم کردند که نیاز به تراش کمتری دارند.
- لومینیرز یا لمینت های فوق نازک
این نوع لمینت ها به دلیل ضخامت بسیار کم (حدود ۰.۲ میلی متر)، اغلب نیاز به هیچ تراشی ندارند یا با حداقل تراش ممکن نصب می شوند. - لمینت های فلدسپاتیک
این لمینت ها نیز به دلیل ماهیت لایه لایه و ظریف خود، نیاز به تراش بسیار محافظه کارانه ای دارند. - لمینت های ایمکس (IPS Emax)
به دلیل استحکام بسیار بالا، لمینت ایمکس Emax می تواند در ضخامت های کم ساخته شود و در نتیجه نیاز به تراش کمتری نسبت به لمینت های قدیمی تر دارد. - لمینت های زیرکونیومی
این نوع لمینت که بیشتر به عنوان روکش کاربرد دارد، در صورت استفاده به عنوان لمینت، به تراش بیشتری نیاز خواهد داشت.
آشنا شوید: بریج دنباله دار یا مریلند
عوارض تراش دندان برای لمینت
تراش دندان برای لمینت اگر توسط یک دندانپزشک ماهر و با تجربه انجام شود، یک فرایند بسیار ایمن و با حداقل عوارض است. با این حال، اگر این کار به صورت غیر اصولی و بیش از حد انجام شود، می تواند مشکلاتی را به همراه داشته باشد. آیا کامپوزیت به دندان آسیب میزند؟ این سوال در مورد کامپوزیت نیز پرسیده می شود و پاسخ در هر دو مورد به مهارت دندانپزشک بستگی دارد. تراش بیش از حد مینا می تواند باعث افزایش حساسیت دائمی دندان شود.
همچنین، اگر تراش به لایه عاج دندان برسد، ممکن است به پالپ (عصب) دندان آسیب وارد کرده و در آینده نیاز به درمان ریشه (عصب کشی) ایجاد کند. به همین دلیل، انتخاب یک دندانپزشک متخصص زیبایی، مانند بهترین دندانپزشک در تهران، برای انجام این کار بسیار حیاتی است.
مراقبت های بعد از تراش دندان برای لمینت
پس از جلسه تراش دندان برای لمینت و قبل از نصب لمینت های دائمی، دندانپزشک معمولا از روکش های موقت برای پوشاندن دندان های تراش خورده استفاده می کند. این روکش های موقت نقش مهمی در کاهش حساسیت و حفظ زیبایی ظاهری تا زمان آماده شدن لمینت های اصلی دارند. حساسیت دندان بعد از کامپوزیت نیز مشابه حساسیت پس از تراش لمینت است.
- پرهیز از غذاهای سفت و چسبنده
از خوردن غذاهایی که می توانند به روکش موقت آسیب برسانند یا آن را جدا کنند، خودداری کنید. - رعایت بهداشت با احتیاط
مسواک زدن و استفاده از نخ دندان در اطراف روکش موقت باید با ملایمت و دقت انجام شود. - اجتناب از مواد غذایی رنگی
روکش های موقت مستعد رنگ پذیری هستند، بنابراین مصرف چای، قهوه و سایر مواد رنگی را محدود کنید. - تماس با دندانپزشک در صورت بروز مشکل
اگر روکش موقت شما شل شد یا افتاد، در اسرع وقت با کلینیک تماس بگیرید.
اطلاعات بیشتر: دوام و طول عمر کامپوزیت دندان
تراش دندان برای لمینت در شمال تهران
انجام فرایند حساس تراش دندان برای لمینت نیازمند دسترسی به تجهیزات مدرن و دندانپزشکان متخصص است. در کلینیک های مجهز دندانپزشک منطقه 1 تهران، این فرایند با استفاده از ابزارهای بزرگ نمایی دقیق (لوپ) و فرزهای بسیار ظریف انجام می شود تا اطمینان حاصل شود که تراش دقیقا در حد مورد نیاز و بدون آسیب به ساختار کلی دندان است. دندانپزشکان این منطقه با گذراندن دوره های تخصصی زیبایی، به خوبی با اصول تراش محافظه کارانه آشنا هستند. هدف آن ها ارائه بهترین نتیجه زیبایی با حفظ حداکثری سلامت دندان های بیمار است. لمینت دندان خرگوشی نیز از جمله درمان هایی است که نیاز به تراش دقیق دارد.
جدول مقایسه میزان تراش دندان برای لمینت در ونیر های مختلف
| نوع ونیر | میزان تقریبی تراش (میلی متر) | نکات مهم |
| لومینیرز | ۰.۰ تا ۰.۲ | اغلب بدون نیاز به تراش (لمینت بدون تراش) |
| لمینت فلدسپاتیک | ۰.۳ تا ۰.۵ | نیاز به تراش بسیار محافظه کارانه |
| لمینت ایمکس (Emax) | ۰.۵ تا ۰.۷ | تراش استاندارد برای لمینت های سرامیکی |
| ونیر کامپوزیتی | ۰.۰ تا ۰.۳ | اغلب بدون تراش یا با حداقل تراش ممکن |
آدرس کلینیک:
زعفرانیه، خیابان مقدس اردبیلی، خیابان پسیان جنوبی، پلاک 14، برج الماس، واحد 87
تلفن:
021-26355216
مشاوره و رزرو وقت:
برای گرفتن مشاوره رایگان، فرم در این صفحه را پر کنید...
آیا تراش دندان برای لمینت برگشت پذیر است؟
خیر، فرایند تراش دندان برای لمینت یک فرایند غیر قابل بازگشت است. مینای دندان که یک بار تراشیده می شود، دیگر قابلیت بازسازی و رشد مجدد را ندارد. به همین دلیل، تصمیم برای انجام لمینت یک تصمیم مهم و دائمی محسوب می شود. تفاوت لمینت و کامپوزیت دندان در این است که کامپوزیت اغلب بدون تراش انجام شده و برگشت پذیرتر است. به همین دلیل است که مشاوره دقیق قبل از شروع درمان و اطمینان کامل از تصمیم خود، بسیار اهمیت دارد. شما باید آگاه باشید که پس از تراش، دندان های شما همیشه نیاز به یک پوشش (لمینت یا روکش) خواهند داشت و نمیتوانند به حالت طبیعی و بدون پوشش باقی بمانند.
تراش دندان برای لمینت جهت اصلاح نامرتبی
در مواردی که دندان ها دچار نا مرتبی های خفیف تا متوسط هستند، دندانپزشک می تواند از تراش دندان برای لمینت به عنوان ابزاری برای اصلاح این مشکلات استفاده کند. لمینت برای دندان کج و نامرتب یک راه حل سریع برای افرادی است که نمی خواهند درمان طولانی مدت ارتودنسی را انجام دهند.
- ایجاد خط دندانی صاف
با تراشیدن قسمت های برجسته تر و اضافه کردن لمینت در نواحی فرورفته تر، می توان یک خط دندانی صاف و یکدست ایجاد کرد. - محدودیت های کاربرد
این روش فقط برای نامرتبی های جزئی مناسب است و برای مشکلات شدیدتر، درمان اصلی همچنان ارتودنسی خواهد بود. - جایگزین سریع ارتودنسی
برای افرادی که به دنبال نتیجه سریع هستند، این روش می تواند جایگزین مناسبی برای ارتودنسی باشد. - نیاز به تشخیص دقیق
دندانپزشک باید با دقت تشخیص دهد که آیا میزان نا مرتبی با تراش و لمینت قابل اصلاح است یا خیر.
تراش دندان برای لمینت و سلامت لثه
تراش صحیح دندان برای لمینت، تاثیر مستقیمی بر سلامت لثه در آینده دارد. لبه لمینت باید دقیقا در جایی قرار گیرد که به لثه آسیب نرساند و باعث تجمع پلاک و التهاب نشود. لیفت لثه قبل از کامپوزیت یا لمینت، گاهی برای ایجاد یک خط لثه هماهنگ و سالم ضروری است. اگر تراش به درستی انجام نشود و لبه لمینت زیر لثه قرار گیرد یا با آن منطبق نباشد، می تواند منجر به التهاب مزمن لثه (ژنژیویت) و حتی تحلیل رفتن آن شود. به همین دلیل مهارت دندانپزشک در این مرحله بسیار حیاتی است.
تراش دندان برای لمینت جهت بستن فاصله
علاوه بر اصلاح رنگ و فرم، از ترکیب تراش دندان برای لمینت می توان برای بستن فاصله های کوچک بین دندانی (دیاستم) نیز استفاده کرد. کاشت دندان بدون ایمپلنت با استفاده از بریج نیز یکی از راه های بستن فاصله است، اما برای فاصله های کوچک، لمینت گزینه بهتری است.
- آماده سازی سطوح کناری
دندانپزشک با تراش بسیار جزئی در سطوح کناری دندان ها، فضا را برای قرار دادن لمینت هایی که کمی پهن تر هستند، آماده می کند. - طراحی لمینت های پهن تر
لمینت ها به گونه ای طراحی می شوند که با پهنای بیشتر خود، فاصله بین دندان ها را به زیبایی بپوشانند. - ایجاد لبخند یکدست
نتیجه نهایی، لبخندی یکدست و بدون فاصله است که ظاهری کاملا طبیعی دارد. - روش محافظه کارانه
این روش نسبت به درمان های ارتودنسی برای بستن فاصله های کوچک، بسیار سریع تر و محافظه کارانه تر است.

تکنیک های جدید در تراش دندان برای لمینت
دندانپزشکی مدرن همواره در حال پیشرفت است و تکنیک های جدیدی برای انجام تراش دندان برای لمینت با حداقل تهاجم ابداع شده است. استفاده از میکروسکوپ های دندانپزشکی و لوپ های با بزرگ نمایی بالا به دندانپزشک اجازه می دهد تا با دید بسیار دقیق تری کار کند و فقط لایه مورد نیاز را بردارد. لیزر دندان نیز در برخی موارد می تواند برای آماده سازی سطح مینا بدون استفاده از فرز های چرخنده به کار رود. این تکنولوژی های پیشرفته، دقت کار را به شدت بالا برده و میزان تراش را به حداقل ممکن می رسانند. این امر به حفظ بیشتر ساختار سالم دندان و کاهش عوارض احتمالی مانند حساسیت پس از درمان کمک شایانی می کند.
آماده سازی قبل از تراش دندان برای لمینت
قبل از شروع فرایند تراش دندان برای لمینت، چند مرحله آماده سازی مهم وجود دارد. اولین قدم، یک جلسه مشاوره کامل با بهترین دندانپزشک فرمانیه است. در این جلسه، اهداف شما بررسی شده و یک طرح درمان دیجیتال از لبخند آینده شما تهیه می شود.
- مشاوره و طراحی لبخند دیجیتال
در این جلسه، شما می توانید نتیجه نهایی درمان را قبل از شروع، به صورت دیجیتال مشاهده کنید. - بلیچینگ (سفید کردن دندان ها)
ممکن است نیاز به انجام بلیچینگ باشد تا رنگ پایه دندان ها روشن تر شده و رنگ نهایی لمینت طبیعی تر به نظر برسد. - درمان مشکلات زمینه ای
هرگونه پوسیدگی یا بیماری لثه باید قبل از شروع فرایند تراش و لمینت، به طور کامل درمان شود. - قالب گیری اولیه
یک قالب اولیه از وضعیت فعلی دندان های شما برای طراحی و برنامه ریزی دقیق تر تهیه می شود.
روکش موقت پس از تراش دندان برای لمینت
همانطور که اشاره شد، پس از تراش دندان برای لمینت، دندانپزشک از روکش های موقت استفاده می کند. این روکش ها که معمولا از مواد کامپوزیتی ساخته می شوند، نقش های مهمی ایفا می کنند. آن ها از دندان های تراش خورده در برابر حساسیت محافظت می کنند و ظاهر زیبایی شما را تا زمان آماده شدن لمینت های دائمی حفظ می نمایند. همچنین، این روکش های موقت به شما و دندانپزشک اجازه می دهند تا شکل و اندازه کلی لمینت های آینده را ارزیابی کنید. اگر نیاز به تغییری در فرم یا طول دندان ها باشد، می توان این تغییرات را روی روکش موقت اعمال و تست کرد تا طرح نهایی لمینت های دائمی بی نقص باشد.
جدول خلاصه نکات کلیدی تراش دندان برای لمینت
| موضوع | نکات کلیدی | اهمیت |
| میزان تراش | بسیار کم (۰.۳ تا ۰.۷ میلی متر) | حفظ حداکثری ساختار سالم دندان |
| درد | بدون درد (با بی حسی موضعی) | ایجاد تجربه راحت و بدون استرس برای بیمار |
| برگشت پذیری | غیر قابل بازگشت | نیاز به تصمیم گیری آگاهانه و قطعی |
| عوارض | در صورت انجام صحیح، حداقل عوارض | انتخاب دندانپزشک ماهر بسیار حیاتی است |
خدمات زیبایی کلینیک دندانپزشکی ترایدنتال:
- کامپوزیت دندان: اصلاح فرم و رنگ دندان ها در یک جلسه با مواد رزینی.
- اصلاح طرح لبخند: طراحی و اجرای یک لبخند کاملا جدید و هماهنگ با اجزای صورت.
- ایمپلنت دندان: کاشت ریشه مصنوعی برای جایگزینی دائمی دندان از دست رفته.
- بلیچینگ دندان: روشی برای سفید کردن و روشن تر کردن رنگ طبیعی دندان ها.
خدمات دندانپزشکی عمومی ترایدنتال:
- جرم گیری دندان: پاکسازی پلاک و جرم از روی دندان ها برای حفظ سلامت لثه.
- عصب کشی دندان: درمان ریشه دندان آسیب دیده برای رفع درد و حفظ دندان.
- ترمیم دندان: پر کردن پوسیدگی ها با مواد همرنگ دندان برای بازگرداندن عملکرد.
- روکش دندان: روکشی مقاوم و زیبا برای دندان های به شدت تخریب شده.
- جراحی دندان عقل: کشیدن دندان های عقل نهفته یا نیمه نهفته برای جلوگیری از مشکلات بعدی.
همین الان یک مشاوره رایگان با ما داشته باشید...
نتیجه گیری
تراش دندان برای لمینت یک مرحله هنرمندانه و علمی است که نیازمند دقت، مهارت و دانش بالای دندانپزشک زیبایی می باشد. این فرایند، کلید دستیابی به نتیجه ای طبیعی، زیبا و با دوام است. درک این نکته که تراش به میزان بسیار کم و با هدف ایجاد فضا و افزایش چسبندگی انجام می شود، می تواند بسیاری از نگرانی های بیماران را برطرف کند. انتخاب یک دندانپزشک معتبر و متخصص، تضمین کننده انجام این مرحله به صورت محافظه کارانه و با حفظ حداکثری سلامت دندان های شما خواهد بود.
در نهایت، تفاوت لمینت با بلیچینگ دندان در این است که بلیچینگ فقط رنگ را تغییر می دهد، اما لمینت با کمک تراش دقیق، می تواند فرم، شکل و رنگ دندان را به طور همزمان متحول سازد. این یک سرمایه گذاری برای داشتن لبخندی است که همیشه آرزویش را داشتید.
سوالات متداول
آیا همه انواع لمینت نیاز به تراش دندان دارند؟
خیر، برخی از انواع لمینت های فوق نازک مانند لومینیرز ممکن است در شرایط ایده آل، بدون نیاز به تراش یا با حداقل تراش ممکن نصب شوند.
پس از تراش دندان، آیا می توان از انجام لمینت منصرف شد؟
خیر، از آنجایی که مینای دندان تراشیده شده و این فرایند غیر قابل بازگشت است، شما نمیتوانید دندان های خود را بدون پوشش رها کنید. تفاوت رنگ دندان a1 و b1 و انتخاب رنگ نهایی باید قبل از تراش قطعی شود.
تفاوت تراش دندان برای لمینت و روکش در چیست؟
تراش برای لمینت بسیار محافظه کارانه و فقط از سطح جلویی دندان است، در حالی که برای روکش، تمام سطوح دندان به میزان قابل توجهی تراشیده می شود.
اگر پس از تراش دندان، لمینت به خوبی به دندان نچسبد چه باید کرد؟
این اتفاق بسیار نادر است. دندانپزشک باید علت را بررسی کند که ممکن است به دلیل آلودگی سطح دندان یا مشکل در چسب لمینت دندان باشد. در این صورت، لمینت برداشته شده و پس از آماده سازی مجدد سطح، دوباره چسبانده می شود.
چه مدت زمانی بین تراش دندان و نصب لمینت دائمی فاصله است؟
معمولا بین یک تا دو هفته زمان لازم است تا لابراتوار لمینت های سرامیکی شما را بسازد. در این مدت شما از روکش های موقت استفاده خواهید کرد.
آیا تراش دندان برای لمینت به عصب دندان آسیب می رساند؟
اگر تراش به صورت استاندارد و در حد مینای دندان انجام شود، هیچ آسیبی به عصب نمی رسد. عصب کشی دندان عقل یک درمان کاملا متفاوت برای عفونت عصب است و با تراش لمینت ارتباطی ندارد.
آیا می توان روی دندانی که قبلا پر شده، تراش برای لمینت انجام داد؟
بله، در صورتی که پرکردگی کوچک و سالم باشد، می توان روی آن تراش انجام داد. اما برای پرکردگی های بسیار وسیع، ممکن است روکش گزینه بهتری نسبت به لمینت باشد.
منابع
به اشتراک بگذارید!
به مشاوره نیاز دارید؟
جهت دریافت مشاوره رایگان و تعیین وقت حضوری با ما تماس بگیرید.


