انواع لمینت دندان
صفحه اصلی » مقالات لمینت دندان » انواع لمینت دندان

مواردی که در این مطلب میخوانید
لمینت دندان یکی از پرطرفدارترین روش های زیبایی در دندانپزشکی مدرن است که به افراد کمک می کند لبخندی درخشان و جذاب داشته باشند. اگر شما هم به دنبال روشی برای اصلاح فرم، رنگ یا فواصل دندان های خود هستید، لمینت می تواند یکی از بهترین گزینه ها برایتان باشد. در کلینیک دندانپزشکی ترایدنتال واقع در شمال تهران، این خدمات با بهره گیری از جدیدترین متدها و با مشاوره و ویزیت اولیه کاملا رایگان ارائه می شود.
در ادامه این مقاله با ما همراه باشید تا با انواع لمینت دندان آشنا شوید، مزایا و معایب هر کدام را بررسی کنیم و به شما کمک کنیم تا بهترین نوع لمینت را متناسب با نیاز و شرایط دندان های خود انتخاب کنید. این راهنمای جامع توسط بهترین دندانپزشک تهران می تواند قدمی موثر برای رسیدن به لبخندی زیباتر باشد.
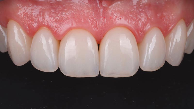
لمینت دندان چیست و چه کاربردی دارد؟
لمینت دندان در واقع یک لایه نازک و مقاوم از جنس سرامیک یا کامپوزیت است که با ظرافت بالا روی سطح جلویی دندان ها قرار می گیرد تا ظاهر آن ها را زیباتر، مرتب تر و درخشان تر کند. این روش نه تنها برای اصلاح رنگ و شکل دندان ها کاربرد دارد، بلکه در بسیاری از موارد می تواند جایگزینی برای ارتودنسی یا ترمیم های پیچیده باشد. یکی از ویژگی های خاص لمینت این است که بدون آسیب رساندن جدی به ساختار دندان، تغییرات چشمگیری در لبخند ایجاد می کند. در کلینیک دندانپزشکی ترایدنتال در شمال تهران، خدمات لمینت توسط دکتر هانیه حقیقی، دکتر متخصص لمینت دندان، با بهره گیری از تکنولوژی روز و مواد درجه یک انجام می شود تا بیماران به لبخندی طبیعی و ماندگار دست یابند.
مقالات مرتبط: تفاوت لمینت با بلیچینگ دندان | بهترین برند لمینت دندان

فرم مشاوره آنلاین
کلینیک دندانپزشکی تریدنتال، برای رفاه حال شما عزیزان، امکان مشاوره آنلاین و رایگان را فراهم کرده است.
انواع لمینت دندان کدام است؟
لمینت دندان، روشی محبوب برای زیباتر کردن لبخند و اصلاح مشکلات ظاهری دندان هاست که امروزه با متریال ها و تکنولوژی های متنوعی ارائه می شود. انتخاب نوع لمینت مناسب بسته به شرایط دندان، بودجه و سلیقه فردی متفاوت است. در ادامه، انواع پرکاربرد و تخصصی لمینت دندان را به زبانی ساده بررسی می کنیم:
بیشتر بدانید: تفاوت لمینت و کامپوزیت دندان | لمینت دندان در بارداری
لمینت سرامیکی (پرسلن):
لمینت های سرامیکی یکی از رایج ترین و ماندگارترین انواع لمینت محسوب می شوند که از جنس سرامیک فشرده شده ساخته شده اند. این لمینت ها از نظر ظاهری بسیار شفاف و طبیعی هستند و مقاومت بالایی در برابر لکه، شکستگی و تغییر رنگ دارند. به دلیل زیبایی ظاهری و دوام طولانی، در کلینیک دندانپزشکی ترایدنتال به عنوان یکی از بهترین گزینه ها برای اصلاح طرح لبخند معرفی می شوند. برای مشاوره با بهترین دندانپزشک زیبایی تهران فرم مشاوره رایگان ما را پر کنید.
مزایای لمینت سرامیکی:
ظاهر بسیار طبیعی و براق
مقاومت بالا در برابر لکه و تغییر رنگ
دوام بالا (۵ تا ۱۵ سال یا بیشتر)
تطابق رنگ عالی با دندان های طبیعی
معایب لمینت سرامیکی:
نیاز به تراشیدن مینای دندان
قیمت بالا نسبت به لمینت کامپوزیتی
در صورت آسیب دیدن، قابل تعمیر نیست و باید تعویض شود
زمان درمان بیشتر است (نیاز به قالب گیری و ارسال به لابراتوار)
آشنا شوید: لومینیرز دندان چیست؟

لمینت کامپوزیتی:
کامپوزیت ونیرها از جنس مواد رزینی هستند و مستقیما روی دندان شکل داده می شوند. این نوع لمینت برای درمان های سریع تر و با هزینه کمتر مورد استفاده قرار می گیرد، اما نسبت به نوع سرامیکی از دوام و درخشندگی کمتری برخوردار است. در کلینیک ترایدنتال ، لمینت کامپوزیتی معمولا برای افرادی پیشنهاد می شود که به دنبال راهکاری اقتصادی تر با نتایج فوری هستند.
مزایا لمینت کامپوزیتی:
- قیمت مناسب تر نسبت به لمینت سرامیکی
- قابل ترمیم در صورت آسیب یا شکستگی
- انجام درمان در یک جلسه (بدون نیاز به لابراتوار)
- نیاز به تراش کمتر یا حتی بدون تراش
معایب لمینت کامپوزیتی:
- دوام کمتر (معمولاً ۳ تا ۷ سال)
- بیشتر در معرض لکه گرفتن و تغییر رنگ
- مقاومت کمتر نسبت به فشار و ضربه
- ظاهر کمی کمتر طبیعی نسبت به سرامیکی
لینک مفید: تراش دندان برای لمینت
لمینت لومینیرز (Lumineers):
لومینیرزها نسل جدیدی از لمینت های فوق نازک هستند که بدون نیاز به تراش مینای دندان نصب می شوند. این ویژگی باعث می شود ساختار طبیعی دندان حفظ شود و فرآیند نصب غیر تهاجمی باشد. این نوع لمینت در ترایدنتال برای افرادی که به دنبال زیبایی طبیعی بدون دستکاری زیاد دندان های خود هستند، توصیه می شود.
مزایا لمینت بدون تراش (لومینیرز و برندهای مشابه):
- بدون نیاز به تراش دندان یا با تراش بسیار کم
- برگشت پذیر بودن در برخی موارد
- بدون درد و بدون نیاز به بی حسی
- ظاهر طبیعی در برندهای با کیفیت
معایب لمینت بدون تراش (لومینیرز و برندهای مشابه):
- مناسب نبودن برای همه بیماران (بویژه در موارد با بی نظمی شدید دندان ها)
- ضخامت بیشتر نسبت به لمینت های دیگر
- هزینه بالا
- ممکن است حالت برجستگی در دندان ایجاد کند.
آشنایی بیشتر: ونیر دندان چیست؟
لمینت زیرکونیا:
روکش زیرکونیا ماده ای بسیار مقاوم با ساختاری سرامیکی است که به دلیل استحکام بالا، برای دندان هایی که در معرض فشار بیشتر هستند، مانند دندان های خلفی، انتخاب مناسبی محسوب می شود. این نوع لمینت گرچه از نظر شفافیت کمی پایین تر از سایر انواع است، اما دوام قابل توجهی دارد. در کلینیک ترایدنتال از لمینت زیرکونیا برای افرادی استفاده می شود که دندان قروچه دارند یا به مقاومت بیشتر نیاز دارند.
مزایای لمینت زیرکونیا:
- استحکام و مقاومت بسیار بالا در برابر فشار
- مناسب برای دندان های خلفی (عقب) و نواحی پرتنش
- غیر حساس به ترک خوردگی و شکست
- بی ضرر برای بافت های دهانی
معایب لمینت زیرکونیا:
- زیبایی و شفافیت کمتر نسبت به ایمکس یا فلدسپاتیک
- تراش بیشتر دندان برای نصب
- چسباندن پیچیده تر و نیاز به تکنیک دقیق
برای مشاوره با بهترین دندانپزشک زعفرانیه فرم مشاوره رایگان ما را پر کنید.
بیشتر بدانید: چسب لمینت دندان

لمینت موقت یا یک روزه:
لمینت های موقت راه حلی کوتاه مدت هستند که در فاصله زمانی آماده شدن لمینت دائمی استفاده می شوند. این لمینت ها علاوه بر حفظ زیبایی لبخند، از دندان ها در برابر عوامل خارجی محافظت می کنند. در کلینیک ترایدنتال ، این نوع لمینت اغلب برای بیمارانی به کار می رود که در حال سپری کردن مراحل ساخت لمینت نهایی هستند.
مزایای لمینت موقت:
استفاده کوتاه مدت بین مراحل درمان لمینت دائمی
محافظت از دندان های تراش خورده تا آماده شدن لمینت اصلی
کمک به بیمار برای بررسی ظاهر و فرم قبل از نهایی شدن کار
معایب لمینت موقت:
ظاهر و کیفیت پایین تر نسبت به لمینت اصلی
دوام بسیار محدود (چند روز تا چند هفته)
احتمال شکستگی یا افتادن بیشتر
دلیل را بیابید: لکه های سفید روی دندان
لمینت ایمکس (E.max):
لمینت ایمکس از جنس لیتیوم دی سیلیکات ساخته شده و یکی از پیشرفته ترین انواع لمینت دندان است که ترکیب ایده آلی از زیبایی، شفافیت و استحکام را فراهم می کند. به دلیل ضخامت کم و قابلیت تطابق رنگی بسیار بالا، این نوع لمینت در دندانهای جلویی نتایج چشمگیری ایجاد می کند. در کلینیک ترایدنتال ، ایمکس به عنوان انتخاب اول برای بازسازی لبخند طبیعی و درخشان توسط دکتر هانیه حقیقی (دندانپزشک خوب منطقه 1) پیشنهاد می شود.
مزایای لمینت ایمکس:
زیبایی بسیار بالا با شفافیت و درخشندگی طبیعی
مقاومت بسیار بالا نسبت به شکستن و ساییدگی
تطابق عالی با رنگ دندان طبیعی
مناسب برای دندان های جلویی و ترمیم های ظریف
معایب لمینت ایمکس:
هزینه بالا
نیاز به تراش جزئی مینای دندان
در صورت شکستگی، امکان ترمیم محدود است
لمینت فلدسپاتیک:
لمینت فلدسپاتیک به صورت کاملاً دستی و لایه به لایه توسط تکنسین ماهر ساخته می شود و از نظر زیبایی جزئی ترین تفاوتهای رنگ و شکل دندان را شبیه سازی می کند. این نوع لمینت برای افرادی که به دنبال نتیجه ای کاملاً سفارشی و منحصربهفرد هستند، گزینه ای ایده آل محسوب می شود. در کلینیک ترایدنتال ، لمینت فلدسپاتیک برای بازسازی لبخندهای خاص و حرفه ای مورد استفاده قرار می گیرد.
مزایای لمینت فلدسپاتیک:
زیبایی فوق العاده و نزدیک ترین شباهت به مینای طبیعی دندان
ساخت دستی توسط تکنسین ماهر، مناسب برای موارد زیبایی خاص
ضخامت بسیار کم، نیاز به تراش کمتر
معایب لمینت فلدسپاتیک:
مقاومت پایین تر نسبت به سایر انواع سرامیک ها
حساس به فشار و شکستگی
گران تر به دلیل ساخت دستی و سفارشی

تفاوت لمینت سرامیکی و کامپوزیتی
لمینت سرامیکی و کامپوزیتی از لحاظ جنس و ویژگی های ظاهری تفاوت دارند. لمینت سرامیکی از جنس مواد فشرده سرامیکی ساخته می شود که دارای مقاومت بالا، شفافیت طبیعی و دوام طولانی مدت است. این نوع لمینت معمولا برای دندان های جلویی که نیاز به ظاهری طبیعی دارند، توصیه می شود. در حالی که لمینت کامپوزیتی از مواد رزینی ساخته می شود که مستقیما روی دندان قرار می گیرد و به دلیل سرعت نصب و هزینه کمتر، انتخاب مناسبی برای کسانی است که به دنبال درمان سریع تر و اقتصادی تر هستند. این نوع لمینت ممکن است نسبت به سرامیکی در برابر لکه ها و تغییر رنگ حساس تر باشد.
بیشتر بدانید: تغییر رنگ لمینت دندان
| ویژگی | لمینت سرامیکی | لمینت کامپوزیتی |
|---|---|---|
| جنس | سرامیک فشرده | مواد رزینی (کامپوزیت) |
| زیبایی | شفافیت بالا و طبیعی | شفافیت کمتر، اما قابل اصلاح |
| مقاومت | بسیار مقاوم در برابر لکه و شکستگی | مقاومت کمتر در برابر لکه و شکستگی |
| دوام | طولانی مدت، مقاوم در برابر تغییر رنگ | دوام کمتر نسبت به سرامیکی |
| هزینه | گرانتر نسبت به کامپوزیتی | اقتصادی تر و مقرون به صرفه تر |
| زمان درمان | نیاز به لابراتوار برای ساخت لمینت | فرآیند سریع تر، بدون نیاز به لابراتوار |
| روش نصب | نیاز به تراش دندان | بدون نیاز به تراش زیاد، فرآیند سریع تر |
| مناسب برای | دندان های جلویی و نیاز به زیبایی طبیعی | دندان های خلفی و درمان های سریع تر |
لمینت موقت دندان چیست و چه کسانی از آن استفاده میکنند؟
لمینت موقت دندان یک پوشش نازک و قابل جابجایی است که به طور موقت روی دندان ها قرار می گیرد تا ظاهری بهبود یافته به دندان ها بدهد و از آسیب های احتمالی جلوگیری کند. این نوع لمینت معمولاً برای افرادی که نیاز به اصلاح موقتی ظاهر دندان های خود دارند، مانند کسانی که در انتظار لمینت دائمی یا درمان های دیگر هستند، مفید است. همچنین برای افرادی که تمایل دارند تغییرات موقت در لبخند خود ایجاد کنند بدون اینکه تصمیم نهایی بگیرند، گزینه مناسبی است. کسانی که از لمینت موقت استفاده می کنند معمولاً از درمان های زیبایی دندانپزشکی بهره مند می شوند و می توانند برای مشاوره رایگان به ترایدنتال مراجعه کنند.
مقالات مرتبط: بهترین سن لمینت دندان
لمینت بدون تراش دندان: آیا واقعاً بدون آسیب است؟
لمینت بدون تراش دندان روشی است که در آن هیچ تراش یا تغییر دائمی روی دندان ها ایجاد نمی شود و فقط یک لایه نازک از مواد روی دندان ها قرار می گیرد. این روش برای افرادی که دندان های سالم و مستحکمی دارند، گزینه مناسبی است، اما در برخی موارد ممکن است فشار اضافی یا حساسیت هایی ایجاد شود. بنابراین، هر فرد باید قبل از تصمیم گیری در این زمینه، مشاوره دقیقی از دندانپزشک خود دریافت کند. برای اطلاعات بیشتر در مورد این روش، مقاله لمینت بدون تراش دندان را بخوانید.
بیشتر بدانید: جرم گیری دندان لمینت شده
آدرس کلینیک:
زعفرانیه، خیابان مقدس اردبیلی، خیابان پسیان جنوبی، پلاک 14، برج الماس، واحد 87
تلفن:
021-26355216
مشاوره و رزرو وقت:
برای گرفتن مشاوره رایگان، فرم در این صفحه را پر کنید...
کاربرد انواع لمینت دندان بطور کامل
در ادامه، کاربرد انواع لمینت دندان که تا الان بررسی کردیم (کامپوزیتی، ایمکس، فلدسپاتیک، موقت، زیرکونیا) به صورت کامل آورده شده است. برای هر نوع، موارد مناسب استفاده و اینکه چه افرادی کاندیدای بهتری برای آن هستند، به صورت لیستی توضیح داده شده است:
کاربردهای لمینت سرامیکی:
اصلاح تغییر رنگ شدید دندانها که با بلیچینگ برطرف نمیشود
پوشاندن شکستگیها یا لب پریدگی های متوسط تا شدید
بهبود فرم و تقارن دندانها برای طراحی لبخند ایده آل
اصلاح فاصله بین دندان ها و باندینگ دندان (فاصله های متوسط تا زیاد)
لمینت سرامیکی برای چه افرادی مناسب هستند؟
کسانی که به دنبال دوام بالا و ظاهر طبیعی هستند
افرادی که نمیخواهند لمینت شان به سرعت تغییر رنگ دهد
بیمارانی که میخواهند ظاهر لبخندشان را به طور کامل بازسازی کنند
کاربردهای لمینت لومینیرز (Lumineers):
بهبود رنگ، فرم و طول دندان بدون نیاز به تراش
پوشاندن تغییر رنگهای متوسط
بازسازی لبخند در افرادی که میخواهند ساختار دندانشان دست نخورده بماند
لمینت لومینیرز برای چه افرادی مناسب هستند؟
افرادی که نمیخواهند دندان هایشان تراش بخورد
کسانی که به دنبال راهی محافظه کارانه و برگشت پذیر برای زیبایی لبخند هستند
افرادی با دندان های سالم که فقط نیاز به بهبود زیبایی دارند
نکته تکمیلی: لمینت های لومینیرز زیرمجموعه ای از لمینت های سرامیکی نازک تر هستند و بدون تراش نصب میشوند، اما برای همه مناسب نیستند. در برخی موارد ممکن است به دلیل ضخامت طبیعی دندان ها یا رنگ زمینه، ظاهر نهایی ایده آل نباشد. حتماً با متخصص زیبایی دندان مشورت شود.
بیشتر بدانید: لمینت دندان چقدر دوام دارد؟

کاربردهای لمینت کامپوزیتی:
اصلاح لبخند در مدت زمان کوتاه با هزینه پایین تر
پوشاندن لک های سطحی و تغییر رنگ های خفیف
بستن فاصله بین دندان ها (دیاسما)
اصلاح ناهمواری های خفیف در فرم دندان
لمینت کامپوزیتی برای چه افرادی مناسب هستند؟
افرادی که بودجه محدود دارند
کسانی که به دنبال اصلاحات موقت یا غیر دائم هستند
کسانی که دندان های سالم و بدون مشکلات شدید دارند
کاربردهای لمینت ایمکس (e.max)
بازسازی لبخند با زیبایی بالا و شفافیت طبیعی
پوشاندن تغییر رنگهای شدید و مقاوم به بلیچینگ
اصلاح شکستگی های کوچک تا متوسط
هماهنگ سازی فرم و رنگ دندان ها برای زیبایی بیشتر
لمینت ایمکس برای چه افرادی مناسب هستند؟
کسانی که زیبایی لبخند برایشان بسیار مهم است
افرادی که دندانهای جلویی آنها دچار تغییر رنگ یا فرم شده اند
افرادی که به دوام و مقاومت بالا اهمیت میدهند
کاربردهای لمینت فلدسپاتیک:
اصلاح فرم و رنگ دندان با ظاهری بسیار طبیعی و ظریف
مناسب برای طراحی لبخندهای بسیار دقیق و سفارشی
بازسازی سطح دندان با حداقل تراش
لمینت فلدسپاتیک برای چه افرادی مناسب هستند؟
کسانی که زیبایی و جزئیات ظاهری اولویت اولشان است
بیمارانی با حساسیت بالا نسبت به ظاهر نهایی لمینت
افرادی که دندان هایی با تغییرات رنگی و فرم خفیف دارند
کاربردهای لمینت موقت:
استفاده موقت بین مراحل درمان لمینت اصلی
محافظت از دندان های تراش خورده قبل از نصب لمینت نهایی
بررسی ظاهر و فرم پیشنهادی قبل از ساخت نهایی
لمینت موقت برای چه افرادی مناسب هستند؟
همه کسانی که در حال انجام لمینت دائمی هستند
بیمارانی که باید چند هفته منتظر لمینت اصلی بمانند
افرادی که میخواهند فرم نهایی لبخند را آزمایشی تجربه کنند
کاربردهای لمینت زیرکونیا:
اصلاح فرم دندان هایی که نیاز به استحکام بالا دارند (مخصوصاً دندان های عقبی)
بازسازی دندان هایی که دچار شکستگی یا سایش شدید شدهاند
استفاده در بیمارانی که فشار زیادی روی دندان وارد میکنند (دندان قروچه)
لمینت زیرکونیا برای چه افرادی مناسب هستند؟
کسانی که دندانهای عقبی را میخواهند لمینت کنند
افرادی با فشردگی یا سایش زیاد روی دندان ها
بیمارانی که به لمینتی بسیار مقاوم و با دوام نیاز دارند، حتی اگر زیبایی آن کمی کمتر از ایمکس باشد
مقالات مفید: لمینت برای دندان کج و نامرتب
چه کسانی کاندیدای مناسبی برای هر نوع لمینت هستند؟
کاندیدای مناسب برای هر نوع لمینت دندان بسته به شرایط دندانی، هدف زیبایی و بودجه فرد متفاوت است. افرادی که تغییر رنگ شدید، ترک خوردگی یا لب پریدگی متوسط تا زیاد دارند و به دنبال نتیجه ای بادوام و طبیعی هستند، بهترین گزینه برای لمینت های سرامیکی یا ایمکس محسوب می شوند، زیرا این نوع لمینت ها مقاومت بالا و ظاهر بسیار طبیعی دارند.
کسانی که مینای دندان شان سالم است و تمایل دارند بدون تراش دندان به لبخندی زیبا برسند، میتوانند از لومینیرز استفاده کنند، زیرا این لمینت نازک بدون تراش نصب می شود و در صورت نیاز، قابل برداشتن است. اگر فردی خواهان اصلاحات جزیی در رنگ و فرم دندان ها با ظاهری شفاف تر و طبیعی تر است و مشکلی با قیمت بالاتر ندارد، لمینت های فلدسپاتیک انتخاب مناسبی هستند. همچنین لمینت های موقت برای افرادی کاربرد دارد که در حال طراحی لبخند نهایی هستند یا منتظر آماده سازی لمینت اصلی اند؛ این نوع لمینت ها موقتاً زیبایی و محافظت از دندان ها را تأمین می کنند. در مجموع، انتخاب نوع لمینت باید بر اساس مشاوره تخصصی، بررسی کامل وضعیت دندان ها و انتظارات زیبایی شناختی فرد انجام شود.
مقالات مرتبط: روکش دندان بهتر است یا لمینت دندان؟

انواع برند لمینت دندان
در بازار لمینت دندان، برندهای مختلفی وجود دارند که هرکدام ویژگی های خاص خود را دارند. در اینجا به معرفی برخی از معتبرترین برندهای لمینت دندان و توضیحی کوتاه درباره هرکدام می پردازیم:
ویدنت (Vident): این برند یکی از معروف ترین تولیدکنندگان لمینت های دندان در جهان است. لمینت های ویدنت با کیفیت بالا و دوام طولانی شناخته شده اند و در عین حال ظاهر طبیعی و زیبایی دارند.
کاربست (Karbost): این برند به خاطر کیفیت و استحکام بالا در ساخت لمینت ها شهرت دارد. لمینت های کاربست مقاومت خوبی در برابر تغییر رنگ و آسیب دیدگی دارند.
لامیناک (Laminac): لامیناک یکی از برندهای پرطرفدار در صنعت دندان پزشکی است که لمینت هایی با ظاهری طبیعی و قابلیت تطبیق بالا با رنگ دندان ها تولید می کند.
لمینت سرامیکی IPS: این برند یکی از محبوب ترین برندهای لمینت سرامیکی است که مقاومت و زیبایی فوق العاده ای دارد. این لمینت ها برای دندان های جلو بسیار مناسب هستند و به طور طبیعی با دندان ها ترکیب می شوند.
زیرکونیا (Zirconia): لمینت های زیرکونیا از مواد سرامیکی مقاوم به فشار و ساییدگی ساخته شده اند و برای دندان های خلفی که تحت فشار بیشتری قرار دارند، مناسب هستند.
هرکدام از این برندها مزایا و ویژگی های خاص خود را دارند و انتخاب بهترین برند بستگی به نیازهای فردی و مشورت با دندانپزشک متخصص دارد.
بیشتر بدانید: لمینت صدفی دندان
مقایسه هزینه انواع لمینت دندان
هزینه لمینت دندان بسته به نوع مواد، روش ساخت، میزان تراش دندان و برند مورد استفاده میتواند بسیار متفاوت باشد. به طور کلی، لمینت های سرامیکی مانند ایمکس و زیرکونیا به دلیل کیفیت بالا، ظاهر طبیعی تر و دوام بیشتر، هزینه بالاتری نسبت به لمینت های کامپوزیتی دارند. همچنین لمینت های فلدسپاتیک به دلیل ساخت کاملاً دستی و ظرافت بالا، جزو گرانترین گزینه ها محسوب میشوند. در مقابل، لمینت های کامپوزیتی و موقت مقرون به صرفه تر هستند اما در مقابل زیبایی و دوام کمتری دارند. انتخاب بهترین نوع لمینت باید بر اساس شرایط دهانی، بودجه و اهداف زیبایی یا درمانی فرد انجام شود.
| نوع لمینت | محدوده قیمت تقریبی | مقایسه با سایر لمینتها |
|---|---|---|
| لمینت کامپوزیتی | ارزان | ارزان ترین نوع لمینت |
| لمینت موقت | بسیار ارزان (موقتی) | فقط برای مدت کوتاه تا لمینت اصلی |
| لمینت سرامیکی (معمولی) | متوسط تا بالا | گران تر از کامپوزیت، ارزان تر از فلدسپاتیک |
| لمینت ایمکس | بالا | گران تر از کامپوزیتی و سرامیکی معمولی |
| لمینت زیرکونیا | بالا تا خیلی بالا | همرده یا کمی گران تر از ایمکس |
| لمینت فلدسپاتیک | بسیار بالا | گران ترین نوع لمینت |
اگر به دنبال ظاهر طبیعی، دوام بالا و مقاوم در برابر لکه هستید، ایمکس یا فلدسپاتیک بهترین گزینه ها هستند. اما اگر بودجه محدود دارید، کامپوزیت انتخاب اقتصادی تری است. مشاوره با دندانپزشک به شما کمک میکند تا مناسب ترین گزینه را بر اساس شرایط خاص خودتان انتخاب کنید.
چه نوع لمینتی برای دندان های لکه دار مناسب تر است؟
برای دندان های لکه دار که تغییر رنگ های عمیق و مقاوم به سفیدکننده دارند، لمینت سرامیکی به ویژه نوع ایمکس (IPS e.max) یا زیرکونیا گزینه های بسیار مناسبی هستند. این لمینت ها پوشش کاملی روی سطح دندان ایجاد می کنند و به دلیل رنگ پذیری کنترل شده و شفافیت طبیعی، می توانند ظاهر زیبا و یکدستی به دندان ها ببخشند. همچنین این نوع لمینت ها در برابر لکه های جدید بسیار مقاوم هستند و در دراز مدت ظاهر سفید و درخشان خود را حفظ می کنند.
مقالات مرتبط: بهترین رنگ لمینت دندان
مراقبت های بعد از لمینت بسته به نوع آن چگونه است؟
مراقبت های بعد از لمینت دندان بسته به نوع آن (مثل سرامیکی، ایمکس، فلدسپاتیک، لومینیرز یا موقت) ممکن است کمی تفاوت داشته باشد، اما اصول کلی مشابه هستند. در لمینت های سرامیکی و ایمکس که دوام بالاتری دارند، توصیه میشود از خوردن خوراکی های خیلی سفت مثل یخ یا ته دیگ پرهیز شود تا فشار ناگهانی به سطح لمینت وارد نشود. استفاده منظم از نخ دندان، مسواک نرم و خمیردندان غیرساینده نیز برای حفظ زیبایی و سلامت لمینت ضروری است. در مواردی که بیمار عادت به دندان قروچه دارد، ممکن است دندانپزشک تجریش استفاده از نایت گارد شبانه را توصیه کند.
در مورد لمینت های فلدسپاتیک یا لومینیرز که نازک تر هستند، مراقبت ها کمی حساس تر است، چون این لمینت ها شکننده تر بوده و در برابر فشار یا ضربه بیشتر آسیب پذیرند. همچنین در لمینت های موقت که تا زمان نصب اصلی استفاده می شوند، باید بسیار با احتیاط رفتار کرد؛ از مصرف خوراکی های رنگی مانند چای و قهوه زیاد خودداری شود چون این نوع لمینت ها خیلی سریع تغییر رنگ می دهند. به طور کلی، معاینات منظم دندانپزشکی و رعایت کامل بهداشت دهان و دندان نقش مهمی در ماندگاری و سلامت لمینت ها دارند.
بیشتر بدانید: علت سیاه دندان و درمان آن
همین الان یک مشاوره رایگان با ما داشته باشید...
انواع لمینت دندان: کدام نوع برای شما مناسب تر است؟
در نهایت، انتخاب نوع مناسب لمینت دندان کاملاً به شرایط فردی شما بستگی دارد؛ از نوع تغییر رنگ یا آسیب دندان ها گرفته تا بودجه، سلیقه در زیبایی، حساسیت دندانی و حتی عادت های روزمره مانند دندان قروچه یا رژیم غذایی. اگر به دنبال دوام بالا و ظاهر طبیعی هستید، لمینت های سرامیکی یا ایمکس انتخاب های ایده آلی هستند. اما اگر نمی خواهید تراش زیادی روی دندان هایتان انجام شود یا ترجیح می دهید بعداً قابلیت بازگشت داشته باشید، لومینیرز گزینه ای مناسب تر است. برای تغییرات ظریف و کاملاً طبیعی، فلدسپاتیک عالی است، و در نهایت اگر هنوز تصمیم قطعی نگرفته اید، لمینت های موقت می توانند به شما کمک کنند نتیجه نهایی را بهتر تصور کنید.
برای انتخاب بهترین نوع لمینت دندان، مشاوره با یک متخصص با تجربه ضروری است. در کلینیک ترایدنتال ما با بررسی دقیق شرایط دهان و دندان شما، بهترین گزینه را پیشنهاد می دهیم و در تمام مراحل همراه شما خواهیم بود. همچنین می توانید از مشاوره رایگان دندانپزشکی ما بهره مند شوید تا پاسخ تمام سوالات خود را پیش از تصمیم گیری دریافت کنید و با اطمینان مسیر زیبایی لبخندتان را آغاز کنید.
بیشتر بدانید: هر واحد لمینت چند دندان است؟
به اشتراک بگذارید!
به مشاوره نیاز دارید؟
جهت دریافت مشاوره رایگان و تعیین وقت حضوری با ما تماس بگیرید.


