انواع بیماری لثه
صفحه اصلی » مقالات مشکلات دهان و دندان » انواع بیماری لثه

مواردی که در این مطلب میخوانید
انواع بیماری لثه شامل گروهی از شرایط التهابی است که بافت های نگهدارنده دندان ها را تحت تاثیر قرار می دهد. این بیماری ها از التهاب خفیف لثه یا ژنژیویت شروع شده و می توانند تا مراحل پیشرفته تری مانند پریودنتیت ادامه یابند که در آن استخوان و بافت های همبند اطراف دندان تخریب می شوند. شناسایی علائم اولیه و اقدام به موقع برای درمان، نقش کلیدی در حفظ سلامت دهان و دندان دارد.
مراجعه به متخصص برای تشخیص صحیح و انتخاب بهترین روش درمانی ضروری است. علائمی مانند خونریزی لثه هنگام مسواک زدن، قرمزی و تورم، بوی بد دهان و یا احساس لقی دندان ها می تواند نشانه ای از وجود بیماری لثه باشد. نادیده گرفتن این علائم، فرایند درمان را پیچیده تر و پر هزینه تر خواهد کرد. انتخاب یک مرکز درمانی معتبر و یک دندانپزشک با تجربه، ضامن موفقیت درمان و پیشگیری از بازگشت بیماری است. در این مسیر، یافتن بهترین دندانپزشک زعفرانیه می تواند اولین گام برای اطمینان از دریافت مراقبت های استاندارد و تخصصی باشد.
کلینیک دندانپزشکی ترایدنتال با بهره گیری از دانش روز و تجهیزات پیشرفته، خدمات تشخیصی و درمانی جامعی را برای مقابله با انواع بیماری لثه با حضور بهترین دندانپزشک زعفرانیه ارائه می دهد.
هزینه مشاوره، ویزیت و همچنین عکس برداری در کلینیک ترایدنتال رایگان است.
آدرس: تجریش، خیابان مقدس اردبیلی، خیابان پسیان جنوبی، پلاک 14، برج الماس، واحد 87
تلفن: 02126355216

فرم مشاوره آنلاین
کلینیک دندانپزشکی تریدنتال، برای رفاه حال شما عزیزان، امکان مشاوره آنلاین و رایگان را فراهم کرده است.
انواع بیماری لثه چیست؟
انواع بیماری لثه به وضعیت های التهابی اشاره دارد که لثه ها و ساختار های حمایتی دندان ها را درگیر می کند. این بیماری ها معمولا در اثر تجمع پلاک های باکتریایی در خط لثه ایجاد می شوند. پلاک یک لایه چسبناک و بی رنگ از باکتری ها است که به طور مداوم روی دندان ها تشکیل می شود. اگر پلاک با مسواک زدن و نخ دندان کشیدن روزانه پاک نشود، می تواند سخت شده و به جرم یا تارتار تبدیل شود که دیگر با مسواک زدن معمولی پاک نمیشود. حضور این جرم ها باعث تحریک لثه ها شده و به بروز اولین مرحله از بیماری لثه، یعنی ژنژیویت، منجر می گردد. دکتر مریم حقیقی به عنوان متخصص جراح لثه تهران در تشخیص و درمان این بیماری ها تبحر بالایی دارد.
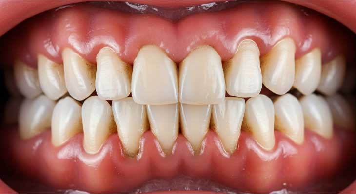
ژنژیویت با قرمزی، تورم و خونریزی آسان لثه ها مشخص می شود. خوشبختانه این مرحله از بیماری لثه با رعایت بهداشت دهان و دندان و جرم گیری حرفه ای توسط دندانپزشک قابل برگشت است. اما اگر ژنژیویت درمان نشود، می تواند به پریودنتیت تبدیل شود. در پریودنتیت، لثه ها از دندان ها فاصله گرفته و فضا هایی به نام پاکت ایجاد می کنند که با باکتری ها عفونی می شوند. سیستم ایمنی بدن با این باکتری ها مبارزه می کند و همزمان با رشد پلاک در زیر خط لثه، سموم باکتریایی و پاسخ طبیعی بدن به عفونت، شروع به تخریب استخوان و بافت هم بندی می کند که دندان ها را در جای خود نگه می دارند. این فرایند تخریبی در صورت عدم درمان، نهایتا منجر به لقی و از دست دادن دندان خواهد شد و می تواند باعث بروز التهاب لثه شدید شود. برای دریافت اطلاعات کامل تر می توانید از خدمات مشاوره رایگان دندانپزشکی بهره مند شوید.
تشخیص به موقع انواع بیماری لثه برای جلوگیری از پیشرفت آن حیاتی است. دندانپزشک با بررسی عمق پاکت های لثه، بررسی خونریزی، التهاب و لقی دندان ها و همچنین با استفاده از تصاویر رادیوگرافی برای ارزیابی میزان تحلیل استخوان، می تواند شدت بیماری را تشخیص دهد. روش های درمانی بسته به مرحله بیماری متفاوت است و از جرم گیری و تمیز کردن عمقی ریشه ها (روت پلنینگ) تا جراحی های پیشرفته لثه برای بازسازی بافت های از دست رفته را شامل می شود. حفظ بهداشت دهان و دندان و مراجعات منظم به دندانپزشک، بهترین راه برای پیشگیری از بروز و پیشرفت این بیماری های خاموش اما جدی است.
جدی بگیرید: درمان التهاب لثه
مقاله مرتبط: جراحی پیوند لثه
شایع ترین علائم مرتبط با انواع بیماری لثه
شناخت علائم هشدار دهنده انواع بیماری لثه برای اقدام به موقع و جلوگیری از عوارض شدید ضروری است. این علائم می توانند در مراحل اولیه خفیف باشند اما با پیشرفت بیماری، آشکار تر می شوند. در ادامه به برخی از مهمترین نشانه های این بیماری پرداخته می شود.
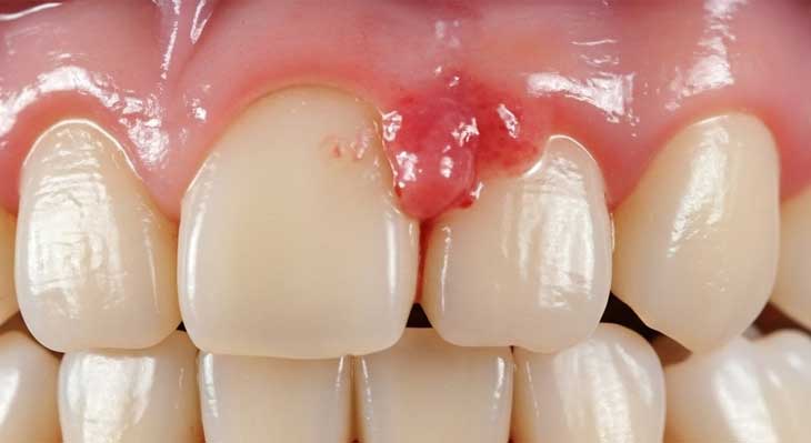
- خونریزی لثه: یکی از اولین و شایع ترین علائم، خونریزی لثه ها هنگام مسواک زدن، نخ دندان کشیدن یا حتی خوردن غذاهای سفت است.
- قرمزی و تورم لثه ها: لثه های سالم، صورتی رنگ و محکم هستند؛ در حالی که لثه های بیمار، قرمز، متورم و حساس به لمس می باشند.
- بوی بد دهان مداوم: بوی بد دهان یا طعم ناخوشایند در دهان که از بین نمیرود، می تواند ناشی از تجمع باکتری ها در پاکت های لثه باشد.
- عقب نشینی یا تحلیل لثه: این وضعیت که باعث بلندتر به نظر رسیدن دندان ها می شود، یکی از نشانه های پیشرفت بیماری و تحلیل لثه است.
- ایجاد پاکت بین دندان و لثه: با پیشرفت بیماری، فضا هایی بین لثه و دندان ایجاد می شود که محل تجمع پلاک و باکتری ها می گردد.
- لقی یا تغییر موقعیت دندان ها: در مراحل پیشرفته پریودنتیت، به دلیل تخریب استخوان و بافت های حمایتی، دندان ها ممکن است لق شده یا از جای خود حرکت کنند.
باید بدانید: تفاوت ژنژیویت لثه و پریودنتیت لثه
مراحل پیشرفت انواع بیماری لثه
انواع بیماری لثه یک شبه اتفاق نمی افتد و معمولا طی مراحل مختلفی پیشرفت می کند. اولین مرحله، ژنژیویت نام دارد که در اثر تجمع پلاک های باکتریایی ایجاد می شود. در این مرحله، لثه ها ملتهب و قرمز شده و ممکن است به راحتی خونریزی کنند. خبر خوب این است که ژنژیویت با بهبود بهداشت دهان و دندان و جرم گیری حرفه ای کاملا قابل درمان است و آسیب دائمی به استخوان وارد نمیکند. عدم توجه به این مرحله، زمینه را برای ورود به مراحل جدی تر بیماری فراهم می کند.
اگر ژنژیویت درمان نشود، به پریودنتیت اولیه تبدیل می شود. در این مرحله، لثه ها شروع به فاصله گرفتن از دندان ها می کنند و پاکت هایی با عمق 4 تا 5 میلی متر ایجاد می شود. این پاکت ها محل مناسبی برای رشد باکتری های مضر هستند. عفونت به استخوان فک سرایت کرده و فرایند تخریب استخوان نگهدارنده دندان آغاز می شود. علائم در این مرحله ممکن است همچنان خفیف باشند اما فرایند تخریب در حال وقوع است. توجه به سلامت دهان در دوران های خاص مانند بارداری بسیار مهم است، زیرا تغییرات هورمونی می تواند لثه ها را حساس تر کند و موضوع جرم گیری دندان در بارداری باید با مشورت دندانپزشک بررسی شود.
مراحل بعدی شامل پریودنتیت متوسط و پیشرفته است. در پریودنتیت متوسط، عمق پاکت ها به 6 تا 7 میلی متر می رسد و تحلیل استخوان شدیدتر می شود. دندان ها ممکن است شروع به لق شدن کنند و لثه ها بیشتر تحلیل می روند. در پریودنتیت پیشرفته، عمق پاکت ها بیش از 7 میلی متر است و تخریب استخوان و بافت همبند به قدری شدید است که دندان ها به شدت لق شده و احتمال از دست دادن آن ها بسیار بالا می رود. درمان در این مراحل بسیار پیچیده تر بوده و اغلب نیازمند مداخلات جراحی است.
آشنا شوید: درمان خونریزی لثه

عوامل خطر در بروز انواع بیماری لثه
عوامل متعددی می توانند خطر ابتلا به انواع بیماری لثه را افزایش دهند. شناخت این عوامل به افراد کمک می کند تا با کنترل آن ها، بهداشت دهان و دندان خود را بهبود بخشند. در ادامه به مهمترین عوامل خطر اشاره می شود.
- بهداشت ضعیف دهان و دندان: اصلی ترین عامل، عدم رعایت بهداشت و تجمع پلاک باکتریایی است که به مرور زمان به جرم تبدیل می شود.
- استعمال دخانیات: سیگار کشیدن یکی از مهمترین عوامل خطر برای بیماری لثه است. این کار فرایند بهبودی لثه ها را مختل کرده و درمان را دشوارتر می کند.
- دیابت: افراد مبتلا به دیابت، به خصوص دیابت کنترل نشده، بیشتر در معرض خطر عفونت ها از جمله بیماری های لثه قرار دارند.
- تغییرات هورمونی: تغییرات هورمونی در دوران بلوغ، بارداری و یائسگی می تواند لثه ها را حساس تر و مستعد التهاب کند.
- داروهای خاص: برخی داروها مانند داروهای ضد تشنج، برخی از مسدود کننده های کانال کلسیم و داروهای سرکوب کننده سیستم ایمنی می توانند بر سلامت لثه تاثیر بگذارند.
- زمینه ژنتیکی: برخی افراد به دلیل سابقه خانوادگی، استعداد بیشتری برای ابتلا به بیماری های لثه دارند. تفاوت جرم گیری سطحی و عمقی دندان در روش و هدف درمان برای بیماران مختلف نهفته است.
توجه کنید: بعد از جراحی لثه چی بخوریم؟
روش های تشخیص انواع بیماری لثه
تشخیص دقیق انواع بیماری لثE توسط دندانپزشک یا پریودنتیست (متخصص لثه) انجام می شود و برای تعیین بهترین برنامه درمانی ضروری است. اولین قدم در فرایند تشخیص، بررسی سابقه پزشکی و دندانپزشکی بیمار است. دندانپزشک در مورد علائمی که بیمار تجربه کرده است، عادات بهداشتی، مصرف دخانیات و وجود بیماری های سیستمیک مانند دیابت سوال خواهد کرد. این اطلاعات اولیه به دندانپزشک کمک می کند تا عوامل خطر احتمالی را شناسایی کند.
مرحله بعدی، معاینه بالینی دقیق دهان و دندان است. در این معاینه، دندانپزشک به دنبال علائم واضح بیماری لثه مانند قرمزی، تورم، خونریزی و وجود پلاک و جرم روی دندان ها می گردد. یکی از مهمترین بخش های این معاینه، اندازه گیری عمق پاکت پریودنتال است. این کار با استفاده از یک ابزار مدرج به نام پروب پریودنتال انجام می شود. پروب به آرامی در فضای بین لثه و دندان قرار داده می شود. در لثه سالم، عمق این فضا معمولا 1 تا 3 میلی متر است. عمق بیشتر از 4 میلی متر می تواند نشانه ای از پریودنتیت باشد. فرق جرم گیری لثه با جرم گیری دندان در این است که جرم گیری لثه به تمیز کردن این پاکت های عمیق می پردازد.
در نهایت، برای ارزیابی کامل وضعیت، ممکن است از رادیوگرافی دندان (عکس اشعه ایکس) استفاده شود. تصاویر رادیوگرافی به دندانپزشک اجازه می دهد تا وضعیت استخوان نگهدارنده دندان ها را بررسی کند. در صورت وجود پریودنتیت، این تصاویر میزان تحلیل و تخریب استخوان را به وضوح نشان می دهند. ترکیب نتایج حاصل از بررسی سوابق پزشکی، معاینه بالینی و رادیوگرافی، به دندانپزشک امکان می دهد تا مرحله و شدت بیماری لثه را تشخیص داده و یک برنامه درمانی جامع و موثر را برای بیمار طراحی کند.
بررسی کنید: جراحی لثه با لیزر
راه های پیشگیری از انواع بیماری لثه
پیشگیری همیشه بهتر از درمان است، و این اصل در مورد انواع بیماری لثه نیز کاملا صدق می کند. با رعایت چند راهکار ساده اما موثر، می توان تا حد زیادی از بروز این بیماری ها جلوگیری کرد.
- مسواک زدن صحیح و منظم: حداقل دو بار در روز و هر بار به مدت دو دقیقه با استفاده از خمیر دندان حاوی فلوراید مسواک بزنید.
- استفاده روزانه از نخ دندان: نخ دندان کشیدن برای از بین بردن پلاک و ذرات غذا از بین دندان ها و زیر خط لثه، جایی که مسواک به آن دسترسی ندارد، ضروری است.
- مراجعات منظم به دندانپزشک: برای معاینات دوره ای و جرم گیری حرفه ای، هر شش ماه یک بار یا طبق توصیه دندانپزشک به کلینیک مراجعه کنید. بسیاری نگران این هستند که آیا جرم گیری به مینای دندان آسیب می زند؟ که در پاسخ باید گفت خیر، این کار در صورت انجام صحیح توسط متخصص، آسیبی به دندان وارد نمیکند.
- رژیم غذایی سالم: یک رژیم غذایی متعادل و محدود کردن مصرف مواد قندی و نشاسته ای به حفظ سلامت لثه ها کمک می کند.
- ترک دخانیات: سیگار کشیدن خطر ابتلا به بیماری لثه را به شدت افزایش می دهد. ترک آن یکی از بهترین اقدامات برای سلامت دهان و کل بدن است.
جدول مقایسه ژنژیویت و پریودنتیت
ویژگی | ژنژیویت (Gingivitis) | پریودنتیت (Periodontitis) |
ماهیت بیماری | التهاب برگشت پذیر لثه ها | عفونت تخریبی و غیر قابل برگشت بافت های حمایتی |
علائم اصلی | قرمزی، تورم و خونریزی لثه | علائم ژنژیویت به علاوه تحلیل لثه، ایجاد پاکت و لقی دندان |
تاثیر بر استخوان | به استخوان فک آسیب نمیرساند | باعث تخریب استخوان نگهدارنده دندان می شود |
عمق پاکت لثه | معمولا کمتر از 3 میلی متر | معمولا 4 میلی متر یا بیشتر |
درمان | بهبود بهداشت و جرم گیری حرفه ای | جرم گیری عمقی، روت پلنینگ و در موارد پیشرفته جراحی لثه |
قابلیت برگشت | کاملا قابل برگشت و درمان پذیر است | آسیب به استخوان و بافت دائمی است، اما قابل کنترل می باشد |
درمان های غیر جراحی برای انواع بیماری لثه
برای مراحل اولیه تا متوسط انواع بیماری لثه، اغلب درمان های غیر جراحی موفقیت آمیز هستند. هدف اصلی این درمان ها، کنترل رشد باکتری ها و حذف جرم و پلاک از روی سطوح دندان و ریشه است تا به لثه ها اجازه بهبودی و اتصال مجدد به دندان داده شود. اولین و رایج ترین روش درمانی، جرم گیری (Scaling) و تسطیح سطح ریشه (Root Planing) است. این یک روش تمیز کردن عمقی است که تحت بی حسی موضعی انجام می شود. در جرم گیری، پلاک و تارتار از بالا و پایین خط لثه پاک می شود.
در مرحله بعد، یعنی تسطیح سطح ریشه، نقاط ناهموار روی ریشه دندان صاف می شوند. این کار به حذف باکتری ها کمک کرده و سطح صافی را برای اتصال مجدد لثه به دندان فراهم می کند. این درمان ممکن است به چندین جلسه نیاز داشته باشد. پس از انجام این فرایند، بهداشت دقیق دهان و دندان توسط بیمار برای جلوگیری از بازگشت بیماری بسیار حیاتی است. عدم رعایت بهداشت می تواند منجر به پوسیدگی دندان و تشدید مشکلات لثه شود.
علاوه بر جرم گیری عمقی، ممکن است از آنتی بیوتیک ها نیز برای کنترل عفونت باکتریایی استفاده شود. آنتی بیوتیک ها می توانند به صورت موضعی یا سیستمیک (خوراکی) تجویز شوند. آنتی بیوتیک های موضعی شامل ژل ها، تراشه های کوچک یا دهانشویه های آنتی باکتریال هستند که مستقیما در پاکت های لثه قرار داده می شوند تا باکتری ها را از بین ببرند. آنتی بیوتیک های خوراکی معمولا برای درمان عفونت های حاد یا مقاوم به درمان های دیگر استفاده می شوند. این روش های غیر جراحی سنگ بنای درمان پریودنتیت هستند و در بسیاری از موارد می توانند از نیاز به جراحی جلوگیری کنند.
درمان های جراحی برای انواع بیماری لثه
در صورتی که انواع بیماری لثه به مراحل پیشرفته رسیده باشد و درمان های غیر جراحی موثر واقع نشوند، مداخلات جراحی ضروری خواهد بود. این جراحی ها با هدف کاهش عمق پاکت ها، بازسازی استخوان و بافت از دست رفته و تسهیل بهداشت دهان انجام می شوند.
- جراحی فلپ یا کاهش پاکت: در این روش، جراح لثه برشی در لثه ایجاد کرده و آن را کنار می زند تا به ریشه دندان و استخوان دسترسی پیدا کند. سپس باکتری ها و جرم های عمقی را تمیز کرده و سطح ریشه را صاف می کند. در نهایت لثه به جای خود بازگردانده و بخیه زده می شود تا به خوبی اطراف دندان قرار گیرد.
- پیوند استخوان: اگر بیماری باعث تخریب استخوان اطراف ریشه دندان شده باشد، از این روش استفاده می شود. مواد پیوند استخوان می تواند از بدن خود بیمار، از منبع انسانی، حیوانی یا به صورت مصنوعی تهیه شود. این مواد به عنوان یک داربست عمل کرده و بدن را برای بازسازی استخوان طبیعی تحریک می کنند.
- پیوند بافت نرم: این جراحی برای پوشش ریشه های نمایان شده به دلیل تحلیل لثه و تقویت بافت نازک لثه انجام می شود. بافت مورد نیاز معمولا از سقف دهان (کام) برداشته شده و به ناحیه مورد نظر پیوند زده می شود.
- پروتئین های محرک بافتی: در این روش از یک ژل مخصوص استفاده می شود که روی ریشه دندان بیمار قرار می گیرد. این ژل حاوی پروتئین هایی است که رشد سالم استخوان و بافت را تحریک می کنند. یکی از مشکلات همراه با بیماری لثه، علت سیاه شدن دندان است که می تواند ناشی از پوسیدگی ریشه باشد.
تاثیر انواع بیماری لثه بر سلامت عمومی بدن
ارتباط بین انواع بیماری لثه و سلامت عمومی بدن موضوع تحقیقات گسترده ای بوده است. شواهد علمی نشان می دهد که سلامت دهان و دندان فراتر از حفظ لبخندی زیبا است و می تواند بر بسیاری از جنبه های سلامت کلی بدن تاثیر بگذارد. باکتری های عامل بیماری لثه و التهاب ناشی از آن می توانند از طریق جریان خون به سایر نقاط بدن منتقل شده و بر بیماری های مختلفی تاثیر بگذارند. این ارتباط دو طرفه است، به این معنی که برخی بیماری های سیستمیک نیز می توانند سلامت لثه ها را تحت تاثیر قرار دهند.
یکی از مهمترین ارتباط های شناخته شده، بین بیماری پریودنتیت و بیماری های قلبی عروقی است. تحقیقات نشان داده اند که التهاب مزمن ناشی از بیماری لثه می تواند خطر ابتلا به بیماری های قلبی، گرفتگی عروق و سکته مغزی را افزایش دهد. هرچند این ارتباط علت و معلولی قطعی نیست، اما کنترل التهاب در دهان می تواند به کاهش بار التهابی کل بدن کمک کند. همچنین، ارتباط قوی بین دیابت و بیماری لثه وجود دارد. افراد دیابتی مستعد ابتلا به عفونت هستند و بیماری لثه در آن ها شدیدتر است. از سوی دیگر، پریودنتیت شدید می تواند کنترل قند خون را دشوارتر کند. توجه به فاصله بین دندان ها نیز مهم است، زیرا این فواصل می توانند محل تجمع غذا و ایجاد پلاک باشند.
علاوه بر این، بیماری لثه با سایر مشکلات سلامتی مانند بیماری های تنفسی، آرتریت روماتوئید و عوارض نامطلوب بارداری (مانند زایمان زودرس و وزن کم نوزاد هنگام تولد) نیز مرتبط دانسته شده است. باکتری های موجود در دهان می توانند به ریه ها استنشاق شده و باعث ذات الریه یا تشدید بیماری های مزمن ریوی شوند. بنابراین، درمان و پیشگیری از انواع بیماری لثه نه تنها برای حفظ دندان ها، بلکه به عنوان بخشی از یک رویکرد جامع برای حفظ سلامت عمومی بدن از اهمیت بالایی برخوردار است.

مراقبت های پس از درمان انواع بیماری لثه
پس از اتمام درمان های تخصصی برای انواع بیماری لثه، دوره مراقبت های پس از درمان برای حفظ نتایج به دست آمده و جلوگیری از بازگشت بیماری از اهمیت فوق العاده ای برخوردار است. موفقیت بلند مدت درمان به شدت به همکاری و تعهد بیمار بستگی دارد.
- رعایت دقیق بهداشت دهان و دندان: مسواک زدن حداقل دو بار در روز و استفاده روزانه از نخ دندان یا سایر ابزارهای تمیز کننده بین دندانی (مانند مسواک های بین دندانی) باید به یک عادت دائمی تبدیل شود.
- استفاده از دهانشویه های تجویز شده: دندانپزشک ممکن است استفاده از دهانشویه های ضد میکروبی را برای مدت معینی توصیه کند تا به کنترل باکتری ها کمک شود.
- مراجعات منظم برای ویزیت های نگهدارنده: این ویزیت ها که به آن ها پریودنتال مینتننس (Periodontal Maintenance) گفته می شود، بسیار حیاتی هستند. برنامه این مراجعات معمولا هر 3 تا 4 ماه یک بار است و شامل معاینه، اندازه گیری عمق پاکت ها و تمیز کردن حرفه ای دندان ها می باشد.
- کنترل عوامل خطر: اگر سیگار می کشید، ترک آن ضروری است. همچنین، کنترل بیماری های سیستمیک مانند دیابت نقش مهمی در حفظ سلامت لثه ها دارد.
- رژیم غذایی سالم: داشتن یک رژیم غذایی متعادل و سرشار از ویتامین ها، به خصوص ویتامین C، به بهبودی و سلامت لثه ها کمک می کند. لیفت لثه قبل از کامپوزیت نیز یکی از اقداماتی است که به بهبود زیبایی و سلامت لثه در درمان های زیبایی کمک می کند.
انواع بیماری لثه در کودکان و نوجوانان
اگرچه انواع بیماری لثه بیشتر با بزرگسالان مرتبط دانسته می شود، اما کودکان و نوجوانان نیز می توانند به آن مبتلا شوند. شایع ترین شکل بیماری لثه در این گروه سنی، ژنژیویت مزمن است که معمولا به دلیل عدم رعایت بهداشت کافی دهان و دندان ایجاد می شود. تجمع پلاک در خط لثه باعث التهاب، قرمزی، تورم و خونریزی لثه ها می گردد. این وضعیت اغلب در دوران بلوغ به دلیل تغییرات هورمونی که واکنش لثه ها به پلاک را تشدید می کند، شایع تر است. خوشبختانه، این نوع ژنژیویت با جرم گیری حرفه ای و آموزش روش های صحیح مسواک زدن و نخ دندان کشیدن به خوبی قابل درمان و کنترل است.
شکل های تهاجمی تری از پریودنتیت نیز، هرچند نادر، می توانند در کودکان و نوجوانان سالم رخ دهند. پریودنتیت تهاجمی موضعی (Localized Aggressive Periodontitis) معمولا در حوالی سن بلوغ شروع شده و عمدتا دندان های آسیای اول و پیشین را درگیر می کند. این بیماری با تحلیل سریع استخوان مشخص می شود. نوع دیگر، پریودنتیت تهاجمی فراگیر (Generalized Aggressive Periodontitis) است که معمولا افراد زیر 30 سال را مبتلا کرده و باعث التهاب شدید و تخریب استخوان در اکثر دندان ها می شود. تشخیص زودهنگام این بیماری ها از طریق معاینات منظم دندانپزشکی بسیار مهم است.
پیشگیری کلید اصلی در مقابله با انواع بیماری لثه در سنین پایین است. والدین باید از سنین کودکی عادات صحیح بهداشت دهان و دندان را به فرزندان خود آموزش دهند و بر انجام آن نظارت کنند. مراجعات منظم به دندانپزشکی از سن یک سالگی به تشخیص زودهنگام هرگونه مشکل کمک می کند. جراحی لثه در موارد بسیار پیشرفته و تهاجمی در نوجوانان ممکن است به عنوان یک گزینه درمانی در نظر گرفته شود، اما هدف اصلی همیشه پیشگیری از رسیدن به این مرحله است.
هزینه های مرتبط با درمان انواع بیماری لثه
هزینه درمان انواع بیماری لثه به عوامل متعددی بستگی دارد و می تواند بسیار متغیر باشد. یکی از اصلی ترین عوامل تعیین کننده هزینه، شدت و مرحله بیماری است. درمان ژنژیویت که تنها شامل جرم گیری و بروساژ حرفه ای و آموزش بهداشت است، کمترین هزینه را دارد. اما با پیشرفت بیماری به سمت پریودنتیت، هزینه ها به طور قابل توجهی افزایش می یابد. درمان های غیر جراحی مانند جرم گیری عمقی و تسطیح سطح ریشه (روت پلنینگ) که معمولا در چند جلسه انجام می شود، هزینه بیشتری نسبت به جرم گیری معمولی دارد.
در مواردی که به درمان های جراحی نیاز باشد، هزینه ها باز هم بالاتر می رود. جراحی فلپ لثه، پیوند استخوان، و پیوند بافت نرم هر کدام هزینه های جداگانه ای دارند که به وسعت ناحیه تحت درمان و نوع مواد مورد استفاده (مانند مواد پیوند استخوان) بستگی دارد. موقعیت جغرافیایی کلینیک دندانپزشکی و تخصص دندانپزشک (متخصص پریودنتیست در مقابل دندانپزشک عمومی) نیز بر هزینه نهایی تاثیرگذار است. هزینه های جانبی مانند هزینه ویزیت های اولیه، رادیوگرافی، و داروهای تجویز شده را نیز باید در نظر گرفت. به طور کلی، هرچه درمان زودتر آغاز شود، روش های درمانی ساده تر و کم هزینه تر خواهند بود. به طور مثال، هزینه های جانبی ممکن است شامل قیمت لمینت دندان برای ترمیم زیبایی پس از درمان های پیچیده باشد.
بسیاری از بیمه های درمانی بخشی از هزینه های مربوط به درمان بیماری های لثه را پوشش می دهند، اما میزان پوشش بسته به نوع بیمه و طرح آن متفاوت است. معمولا درمان های پیشگیرانه و پایه مانند جرم گیری تحت پوشش بهتری قرار می گیرند، در حالی که پوشش برای جراحی های پیچیده ممکن است محدودتر باشد. توصیه می شود بیماران قبل از شروع درمان، در مورد هزینه ها و میزان پوشش بیمه با کلینیک دندانپزشکی و شرکت بیمه خود مشورت کنند تا برآورد دقیقی از هزینه های پیش رو داشته باشند و بتوانند برنامه ریزی مالی مناسبی انجام دهند.
بررسی اختلاف انواع بیماری لثه با سایر مشکلات دهان
مشکل دهان | علائم اصلی | علت اصلی | تاثیر بر لثه و استخوان |
انواع بیماری لثه | قرمزی، تورم، خونریزی، پاکت لثه، تحلیل استخوان | تجمع پلاک باکتریایی | تاثیر مستقیم و تخریبی بر لثه و استخوان دارد |
پوسیدگی دندان | ایجاد حفره، حساسیت به شیرینی و دما، درد | فعالیت باکتری های تولید کننده اسید روی قندها | به طور مستقیم به لثه آسیب نمیزند، اما حفره های نزدیک لثه می توانند باعث التهاب موضعی شوند |
آفت دهان | زخم های کوچک، گرد و دردناک در بافت نرم دهان | ناشناخته (استرس، آسیب، عوامل ایمنی) | تاثیری بر ساختار لثه یا استخوان فک ندارد |
برفک دهان | لکه های سفید و پنیری شکل در دهان | رشد بیش از حد قارچ کاندیدا آلبیکنز | می تواند باعث قرمزی و سوزش لثه ها شود اما استخوان را درگیر نمیکند |
مشاوره تخصصی درمان انواع بیماری لثه در تجریش
دسترسی به خدمات تخصصی دندانپزشکی برای تشخیص و درمان انواع بیماری لثه در مناطق مختلف تهران از اهمیت بالایی برخوردار است. بیمارانی که به دنبال خدمات یک دندانپزشک در تجریش هستند، می توانند از امکانات تشخیصی و درمانی پیشرفته در کلینیک های مجهز این منطقه بهره مند شوند. کلینیک دندانپزشکی ترایدنتال با حضور متخصصین مجرب، آماده ارائه مشاوره و درمان های جامع برای مقابله با بیماری های پریودنتال است.
این خدمات شامل معاینات دقیق، تشخیص مرحله بیماری، ارائه طرح درمان مناسب از جمله جرم گیری های عمقی و در صورت لزوم، جراحی های پیشرفته لثه می باشد. هدف اصلی، حفظ دندان های طبیعی بیمار و بازگرداندن سلامت به بافت های نگهدارنده دندان است.
خدمات زیبایی کلینیک دندانپزشکی ترایدنتال:
- کامپوزیت دندان: اصلاح فرم و رنگ دندان ها در یک جلسه با مواد رزینی.
- لمینت دندان: پوسته های نازک سرامیکی برای ایجاد لبخندی زیبا و دائمی.
- ایمپلنت دندان: کاشت ریشه مصنوعی برای جایگزینی دائمی دندان از دست رفته.
- اصلاح طرح لبخند: مجموعه ای از درمان ها برای دستیابی به لبخندی زیبا و هماهنگ.
- بلیچینگ دندان: روشی موثر برای سفید کردن دندان ها و از بین بردن لکه های ناشی از مواد غذایی.
خدمات دندانپزشکی عمومی ترایدنتال:
- جرم گیری دندان: حذف پلاک و جرم از سطوح دندان برای پیشگیری از بیماری های لثه.
- عصب کشی دندان: درمان ریشه دندان آسیب دیده برای رفع درد و حفظ دندان.
- ترمیم دندان: پر کردن پوسیدگی ها با مواد همرنگ دندان برای بازگرداندن عملکرد.
- روکش دندان: روکشی مقاوم و زیبا برای دندان های به شدت تخریب شده.
- جراحی دندان عقل: کشیدن دندان های عقل نهفته یا نیمه نهفته برای جلوگیری از مشکلات بعدی.
همین الان یک مشاوره رایگان با ما داشته باشید...
نتیجه گیری
انواع بیماری لثه از ژنژیویت قابل برگشت تا پریودنتیت تخریبی، یک تهدید جدی برای سلامت دهان و دندان محسوب می شود. این بیماری ها که عمدتا ناشی از تجمع پلاک باکتریایی هستند، در صورت عدم درمان می توانند منجر به تخریب استخوان، تحلیل لثه و در نهایت از دست دادن دندان شوند. شناخت علائم اولیه مانند خونریزی، قرمزی و تورم لثه و اقدام به موقع برای تشخیص و درمان، کلید اصلی در کنترل این بیماری و جلوگیری از پیشرفت آن است. رعایت بهداشت دهان و دندان شامل مسواک زدن منظم، استفاده روزانه از نخ دندان و مراجعات دوره ای به دندانپزشک، بهترین و موثرترین راه برای پیشگیری از این مشکلات است.
درمان های موجود برای انواع بیماری لثه بسته به شدت آن متفاوت بوده و از روش های غیر جراحی مانند جرم گیری عمقی تا جراحی های پیچیده لثه و پیوند استخوان را در بر می گیرد. موفقیت این درمان ها نیازمند همکاری نزدیک بیمار و پیروی از دستورالعمل های مراقبتی پس از درمان است. با توجه به ارتباط اثبات شده بین سلامت لثه و سلامت عمومی بدن، از جمله بیماری های قلبی و دیابت، توجه به این بیماری خاموش اهمیت دوچندان پیدا می کند. انتخاب یک مرکز درمانی معتبر و مشاوره با بهترین دندانپزشک تهران می تواند تضمین کننده دریافت بهترین خدمات تشخیصی و درمانی برای حفظ لبخندی سالم و زیبا در طول زندگی باشد.
سوالات متداول
آیا بیماری لثه مسری است؟
خیر، بیماری لثه به خودی خود یک بیماری مسری محسوب نمیشود. شما نمیتوانید آن را مانند سرماخوردگی از فردی به فرد دیگر منتقل کنید. با این حال، باکتری های عامل این بیماری می توانند از طریق بزاق (برای مثال، از طریق بوسیدن یا استفاده مشترک از ظروف) منتقل شوند، اما برای ایجاد بیماری در فرد جدید، شرایط دیگری مانند بهداشت ضعیف دهان و استعداد ژنتیکی نیز باید وجود داشته باشد.
تفاوت اصلی بین ژنژیویت و پریودنتیت چیست؟
تفاوت اصلی در برگشت پذیری و میزان آسیب است. ژنژیویت التهاب اولیه و برگشت پذیر لثه است که به استخوان آسیبی نمی رساند. اما پریودنتیت مرحله پیشرفته تری است که در آن عفونت به استخوان و بافت های نگهدارنده دندان سرایت کرده و باعث تخریب غیر قابل برگشت آن ها می شود. مراقبت های بعد از لمینت دندان نیز شامل توجه به سلامت لثه ها برای افزایش طول عمر لمینت است.
آیا درمان بیماری لثه دردناک است؟
اکثر روش های درمانی برای بیماری لثه تحت بی حسی موضعی انجام می شوند، بنابراین بیمار در حین انجام کار دردی احساس نمی کند. پس از درمان، به خصوص بعد از جراحی، ممکن است مقداری ناراحتی، تورم یا حساسیت وجود داشته باشد که معمولا با مسکن های معمولی و رعایت دستورالعمل های دندانپزشک به خوبی کنترل می شود.
هر چند وقت یک بار باید برای معاینه لثه به دندانپزشک مراجعه کرد؟
برای افراد عادی، مراجعه هر شش ماه یک بار برای معاینات دوره ای و جرم گیری توصیه می شود. اما برای افرادی که سابقه بیماری لثه دارند یا درمان پریودنتیت را پشت سر گذاشته اند، ممکن است نیاز به مراجعات مکرر تر (معمولا هر سه تا چهار ماه یک بار) برای جلسات نگهداری (maintenance) باشد تا از بازگشت بیماری جلوگیری شود. پوسیدگی بین دندان یکی از عوامل اصلی ایجاد مشکلات لثه است که در این معاینات بررسی می شود.
آیا ممکن است بیماری لثه پس از درمان دوباره برگردد؟
بله، پریودنتیت یک بیماری مزمن است و امکان بازگشت آن وجود دارد. موفقیت بلند مدت درمان به شدت به رعایت بهداشت دهان و دندان توسط بیمار و شرکت در ویزیت های منظم نگهدارنده بستگی دارد. بدون مراقبت های مداوم، پلاک ها دوباره تجمع یافته و بیماری می تواند مجددا فعال شود.
آیا استفاده از دهانشویه به تنهایی برای پیشگیری از بیماری لثه کافی است؟
خیر. در حالی که دهانشویه های ضد میکروبی می توانند به کاهش باکتری ها کمک کنند، اما به هیچ وجه جایگزین مسواک زدن و نخ دندان کشیدن نمی شوند. حذف فیزیکی پلاک از طریق مسواک و نخ دندان، اصلی ترین و ضروری ترین بخش پیشگیری است. دهانشویه می تواند به عنوان یک مکمل در کنار این روش ها و با توصیه بهترین دندانپزشک زیبای در تهران استفاده شود.
چه ارتباطی بین سیگار کشیدن و بیماری لثه وجود دارد؟
سیگار کشیدن یکی از بزرگترین عوامل خطر برای ابتلا به بیماری لثه است. این کار سیستم ایمنی بدن را تضعیف کرده و مبارزه با عفونت لثه را دشوارتر می کند. همچنین، سیگار کشیدن روند بهبودی بافت های لثه پس از درمان را کند می کند و احتمال موفقیت درمان را کاهش می دهد. افراد سیگاری معمولا بیماری لثه شدید تری دارند و بیشتر در معرض خطر از دست دادن دندان هستند.
به اشتراک بگذارید!
به مشاوره نیاز دارید؟
جهت دریافت مشاوره رایگان و تعیین وقت حضوری با ما تماس بگیرید.


