التهاب لثه
صفحه اصلی » مقالات مشکلات دهان و دندان » التهاب لثه

مواردی که در این مطلب میخوانید
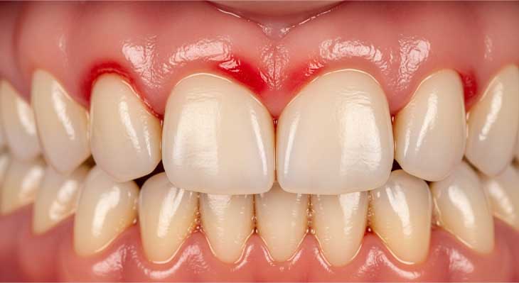
التهاب لثه که در علم دندانپزشکی با نام ژنژیویت (Gingivitis) شناخته می شود، مرحله اولیه بیماری های لثه است. این وضعیت با قرمزی، تورم و خونریزی لثه ها، به خصوص هنگام مسواک زدن، مشخص می شود. علت اصلی التهاب لثه، تجمع پلاک های میکروبی در خط لثه است. خبر خوب این است که ژنژیویت با تشخیص به موقع و رعایت بهداشت دهان و دندان، کاملا قابل درمان و برگشت پذیر است. نادیده گرفتن آن می تواند منجر به بیماری های پیشرفته تر و از دست دادن دندان شود.
کلینیک دندانپزشکی ترایدنتال به عنوان مرکز تخصصی درمان بیماری های دهان و دندان، با حضور بهترین دندانپزشک زعفرانیه، آماده ارائه مشاوره و خدمات در زمینه تشخیص و درمان التهاب لثه است.
هزینه مشاوره، ویزیت و همچنین عکس برداری در کلینیک ترایدنتال رایگان است.
آدرس: تجریش، خیابان مقدس اردبیلی، خیابان پسیان جنوبی، پلاک 14، برج الماس، واحد 87
تلفن: 02126355216

فرم مشاوره آنلاین
کلینیک دندانپزشکی تریدنتال، برای رفاه حال شما عزیزان، امکان مشاوره آنلاین و رایگان را فراهم کرده است.
التهاب لثه چیست؟
التهاب لثه یا ژنژیویت، به واکنش سیستم ایمنی بدن به تجمع پلاک های باکتریایی در اطراف دندان ها و خط لثه گفته می شود. این پلاک ها، لایه ای نرم و چسبنده از باکتری ها هستند که اگر به طور منظم با مسواک و نخ دندان تمیز نشوند، باعث تحریک و التهاب بافت نرم لثه می گردند. این بیماری می تواند هر فردی را در هر سنی تحت تاثیر قرار دهد. دکتر امیر بهرامی متخصص دندانپزشکی به عنوان متخصص جراح لثه تهران، بر تشخیص زودهنگام این بیماری برای جلوگیری از عوارض جدی تر تاکید دارد.
التهاب لثه اولین و خفیف ترین مرحله از بیماری های پریودنتال است. در این مرحله، هنوز استخوان و بافت های هم بندی که دندان را در جای خود نگه می دارند، آسیب ندیدند. به همین دلیل، درمان آن نسبتا ساده و کاملا موفقیت آمیز است. برای دریافت اطلاعات کامل تر و بررسی وضعیت لثه های خود، می توانید از خدمات مشاوره رایگان دندانپزشکی در کلینیک ما بهرمند شوید.
مقاله مرتبط: جراحی پیوند لثه | تغذیه بعد از ایمپلنت دندان
علائم شایع التهاب لثه
شناخت علائم التهاب لثه به شما کمک می کند تا این بیماری را در مراحل اولیه تشخیص داده و قبل از پیشرفت آن، برای درمان اقدام کنید. این علائم معمولا خفیف هستند و ممکن است نادیده گرفته شوند. تحلیل لثه یکی از عوارض پیشرفته این بیماری است.
- قرمزی و تورم لثه ها
لثه های سالم به رنگ صورتی روشن و محکم هستند. لثه های قرمز تیره و پف کرده از اولین نشانه های التهاب هستند. - خونریزی لثه هنگام مسواک زدن
خونریزی آسان لثه ها، حتی با مسواک زدن آرام، شایع ترین و واضح ترین علامت ژنژیویت است. - بوی بد دهان (هالیتوزیس)
تجمع باکتری ها در دهان می تواند باعث ایجاد بوی بد مداوم شود که با مسواک زدن نیز از بین نمیرود. - حساسیت و درد خفیف لثه
ممکن است لثه ها هنگام لمس یا جویدن غذا کمی حساس یا دردناک باشند.
آشنا شوید: لمینت برلیانس چیست؟ | مراقبت بعد از ایمپلنت دندان
دلایل اصلی بروز التهاب لثه
علت اصلی و شماره یک التهاب لثه، عدم رعایت صحیح و منظم بهداشت دهان و دندان است. با این حال، عوامل دیگری نیز می توانند خطر ابتلا به این بیماری را افزایش دهند. بهترین دندانپزشک تهران می تواند با بررسی این عوامل، بهترین طرح درمان را ارائه دهد.
- تجمع پلاک میکروبی
مسواک نزدن و عدم استفاده از نخ دندان به طور منظم، باعث تجمع پلاک در خط لثه می شود. - تغییرات هورمونی
تغییرات هورمونی در دوران بلوغ، بارداری و یائسگی می تواند لثه ها را حساس تر کند. - برخی بیماری های سیستمیک
بیماری هایی مانند دیابت کنترل نشده، خطر ابتلا به التهاب لثه را به شدت افزایش می دهند. - مصرف برخی داروها
برخی از داروها می توانند باعث خشکی دهان یا رشد بیش از حد لثه شوند که به التهاب آن کمک می کند. - سیگار کشیدن
سیگار کشیدن یکی از مهم ترین عوامل خطر برای بیماری های لثه است و روند بهبودی را نیز مختل می کند.
آشنا شوید: پولیش دندان چیست؟ | کاهش درد و ورم بعد از جراحی دندان عقل
تشخیص التهاب لثه
تشخیص التهاب لثه توسط دندانپزشک یا متخصص لثه و از طریق یک معاینه کامل دهان و دندان انجام می شود. این فرایند ساده و بدون درد است. اینله و آنله دندان ترمیم هایی هستند که سلامت آن ها نیز به سلامت لثه بستگی دارد.
- معاینه چشمی لثه ها
دندانپزشک رنگ، شکل و قوام لثه ها را برای یافتن علائم قرمزی و تورم بررسی می کند. - اندازه گیری عمق پاکت لثه
با استفاده از یک ابزار به نام پروب پریودنتال، عمق شیار بین لثه و دندان اندازه گیری می شود. عمق بیش از ۳ میلی متر می تواند نشانه بیماری باشد. - بررسی خونریزی لثه
دندانپزشک با پروب به آرامی لثه ها را لمس می کند تا میزان تمایل آن ها به خونریزی را ارزیابی کند. - عکس برداری با اشعه ایکس
در صورت شک به پیشرفت بیماری، ممکن است برای بررسی وضعیت استخوان فک، عکس رادیوگرافی تجویز شود.
مقاله مفید: کامپوزیت دندان های جلو | تعویض و برداشتن لمینت دندان

روش های درمان التهاب لثه
خبر خوب این است که التهاب لثه در مراحل اولیه، با یک درمان حرفه ای و رعایت بهداشت در خانه، به طور کامل قابل درمان است. هدف اصلی درمان، حذف پلاک و جرم و کنترل عوامل ایجاد کننده آن است.
- جرم گیری و بروساژ حرفه ای
اولین قدم در درمان، حذف کامل پلاک و جرم (تارتار) از بالا و زیر خط لثه توسط دندانپزشک است. - آموزش بهداشت دهان و دندان
دندانپزشک روش صحیح مسواک زدن و استفاده از نخ دندان را به شما آموزش می دهد. - استفاده از دهانشویه های ضد میکروبی
در برخی موارد، ممکن است برای کنترل باکتری ها، استفاده کوتاه مدت از دهانشویه های مخصوص تجویز شود. - مراجعات منظم برای چکاپ
پس از درمان، مراجعات منظم برای اطمینان از عدم بازگشت بیماری ضروری است. هوم بلیچینگ نیز نیاز به لثه های سالم دارد.
آشنا شوید: بریج دنباله دار یا مریلند | چه کسانی نباید کامپوزیت دندان انجام دهند؟
پیشگیری از التهاب لثه
بهترین راه برای مقابله با التهاب لثه، پیشگیری از وقوع آن است. با رعایت چند نکته ساده می توان لثه هایی سالم و لبخندی زیبا داشت. ترمیم دندان کودکان نیز با پیشگیری از پوسیدگی، کمتر مورد نیاز خواهد بود.
- مسواک زدن دو بار در روز
حداقل دو دقیقه و با استفاده از یک مسواک نرم و خمیر دندان حاوی فلوراید. - استفاده روزانه از نخ دندان
نخ دندان تنها راه برای تمیز کردن نواحی بین دندانی است که مسواک به آن دسترسی ندارد. - رژیم غذایی سالم و متعادل
محدود کردن مصرف مواد قندی و نشاسته ای به کاهش تشکیل پلاک کمک می کند. - ترک سیگار
ترک سیگار یکی از بهترین کارها برای حفظ سلامت لثه و کل بدن است. - معاینات منظم دندانپزشکی
مراجعه هر شش ماه یکبار به دندانپزشک برای جرم گیری و چکاپ حرفه ای.
بیشتر بدانید: جرم گیری دندان در بارداری
ارتباط التهاب لثه با بیماری های دیگر
سلامت لثه ها تنها به دهان محدود نمیشود و با سلامت عمومی بدن ارتباط تنگاتنگی دارد. باکتری های ناشی از التهاب لثه می توانند وارد جریان خون شده و بر سایر ارگان های بدن تاثیر بگذارند. عفونت ایمپلنت دندان نیز می تواند ناشی از بیماری لثه درمان نشده باشد.
تحقیقات علمی ارتباط قوی بین بیماری های لثه و بیماری هایی مانند بیماری های قلبی-عروقی، سکته مغزی، دیابت و عوارض بارداری را نشان دادند. بنابراین، درمان التهاب لثه نه تنها برای حفظ دندان ها، بلکه برای حفظ سلامت کلی بدن نیز ضروری است.
بیشتر بدانید: تفاوت بروساژ و جرم گیری دندان
درمان التهاب لثه در شمال تهران
برای درمان موثر التهاب لثه و جلوگیری از پیشرفت آن، مراجعه به یک دندانپزشک یا متخصص لثه مجرب ضروری است. در کلینیک های دندانپزشکی شمال تهران، این درمان با استفاده از تجهیزات مدرن مانند دستگاه های جرم گیری اولتراسونیک و با دقت بالا انجام می شود. متخصصین این منطقه با ارائه یک برنامه درمانی جامع، از جرم گیری حرفه ای گرفته تا آموزش بهداشت، به شما کمک می کنند تا سلامت لثه های خود را به طور کامل باز یابید. تراش دندان برای لمینت نیز در این مراکز با دقت انجام می شود تا به لثه آسیبی نرسد.
مقاله مفید: جرم گیری دندان کودکان
جدول خلاصه علائم و راه های پیشگیری از التهاب لثه
علائم شایع | راه های اصلی پیشگیری |
قرمزی و تورم لثه | مسواک زدن منظم (حداقل دو بار در روز) |
خونریزی هنگام مسواک زدن | استفاده روزانه از نخ دندان |
بوی بد دهان | جرم گیری حرفه ای هر شش ماه یکبار |
حساسیت لثه | رژیم غذایی سالم و محدود کردن قند |
آدرس کلینیک:
زعفرانیه، خیابان مقدس اردبیلی، خیابان پسیان جنوبی، پلاک 14، برج الماس، واحد 87
تلفن:
021-26355216
مشاوره و رزرو وقت:
برای گرفتن مشاوره رایگان، فرم در این صفحه را پر کنید...
التهاب لثه در بارداری
زنان باردار به دلیل تغییرات هورمونی شدید در بدن، بیشتر در معرض خطر ابتلا به التهاب لثه قرار دارند. این وضعیت که به آن “ژنژیویت بارداری” گفته می شود، معمولا در سه ماهه دوم بارداری شروع شده و تشدید می یابد. بهترین زمان ایمپلنت بعد از کشیدن دندان برای افراد عادی است، اما در بارداری باید درمان ها با احتیاط انجام شود.
در این دوران، لثه ها به مقدار کمتری از پلاک نیز واکنش شدید تری نشان داده و دچار تورم و خونریزی می شوند. رعایت بهداشت دهان و دندان در دوران بارداری اهمیت دوچندان دارد. درمان نکردن التهاب لثه در این دوره می تواند خطر زایمان زودرس و تولد نوزاد با وزن کم را افزایش دهد.
توجه کنید: بعد از جراحی لثه چی بخوریم؟
آیا التهاب لثه واگیردار است؟
هرچند خود بیماری التهاب لثه به طور مستقیم از فردی به فرد دیگر منتقل نمیشود، اما باکتری های ایجاد کننده آن می توانند از طریق بزاق منتقل شوند. علت سیاه شدن دندان می تواند پوسیدگی باشد که آن هم ناشی از باکتری است.
این بدان معناست که استفاده مشترک از مسواک یا ظروف غذا می تواند باکتری های مضر را بین اعضای خانواده منتقل کند. اگر یکی از اعضای خانواده دچار التهاب لثه است، بهتر است اقدامات بهداشتی برای جلوگیری از انتقال باکتری ها به دیگران رعایت شود.
مطلع شوید: انواع بیماری لثه
درمان خانگی التهاب لثه
هرچند درمان اصلی التهاب لثه باید توسط دندانپزشک انجام شود، اما برخی از درمان های خانگی می توانند به عنوان مکمل به کاهش التهاب و بهبودی کمک کنند. درمان سریع جای زخم دندان کشیده شده نیز نیاز به مراقبت های خانگی دارد.
شستشوی دهان با آب نمک ولرم (یک قاشق چایخوری نمک در یک لیوان آب) می تواند به کاهش تورم و ضدعفونی کردن لثه ها کمک کند. استفاده از دهانشویه های گیاهی حاوی موادی مانند آلوئه ورا یا روغن درخت چای نیز ممکن است مفید باشد. با این حال، این روش ها جایگزین درمان حرفه ای و رعایت بهداشت روزانه نمیشوند.
آشنا شوید: مراقبت های بعد از جراحی لثه

تفاوت التهاب لثه و پریودنتیت
التهاب لثه (ژنژیویت) و پریودنتیت دو مرحله از یک بیماری هستند. ژنژیویت مرحله اولیه و برگشت پذیر است که فقط بافت نرم لثه را درگیر می کند. فرق جرم گیری لثه با جرم گیری دندان در این است که جرم گیری لثه برای درمان پریودنتیت به کار می رود. اگر ژنژیویت درمان نشود، می تواند پیشرفت کرده و به پریودنتیت تبدیل شود. در پریودنتیت، التهاب به استخوان و بافت های نگهدارنده دندان نیز سرایت کرده و باعث تخریب آن ها می شود.
مطالعه بیشتر: عوارض و معایب کامپوزیت دندان
آیا التهاب لثه باعث تحلیل لثه می شود؟
بله، التهاب لثه درمان نشده یکی از دلایل اصلی تحلیل لثه است. التهاب مزمن باعث می شود که بافت لثه به تدریج از دندان فاصله گرفته و به سمت ریشه عقب نشینی کند. این عقب نشینی باعث نمایان شدن سطح ریشه دندان می شود که می تواند منجر به حساسیت شدید، افزایش خطر پوسیدگی ریشه و ظاهر نا زیبای دندان ها شود. درمان به موقع التهاب لثه بهترین راه برای جلوگیری از تحلیل آن است.
التهاب لثه و ایمپلنت دندان
سلامت لثه برای موفقیت درمان ایمپلنت دندان حیاتی است. التهاب لثه در اطراف ایمپلنت، که به آن “پری موکوزیت” گفته می شود، می تواند به یک وضعیت جدی تر به نام “پری ایمپلنتایتیس” تبدیل شود. پس زدن ایمپلنت دندان می تواند نتیجه پری ایمپلنتایتیس باشد.
در پری ایمپلنتایتیس، التهاب باعث تخریب استخوان اطراف ایمپلنت شده و می تواند منجر به لقی و شکست درمان ایمپلنت شود. به همین دلیل، افرادی که قصد انجام ایمپلنت دارند یا ایمپلنت در دهان خود دارند، باید به طور ویژه به سلامت لثه های خود اهمیت دهند.
ارتباط التهاب لثه و بوی بد دهان
التهاب لثه یکی از دلایل اصلی بوی بد مزمن دهان (هالیتوزیس) است. باکتری هایی که در پلاک های دندانی و پاکت های لثه تجمع می یابند، ترکیبات گوگردی فراری را تولید می کنند که بوی بسیار نا خوشایندی دارند. آشنایی با انواع دندان عقل و مشکلات آن نیز می تواند به درک دیگر دلایل بوی بد دهان کمک کند.
جدول خلاصه درمان و پیشگیری از التهاب لثه
مرحله | اقدامات کلیدی | هدف |
درمان حرفه ای | جرم گیری و بروساژ توسط دندانپزشک | حذف کامل پلاک و جرم (تارتار) |
مراقبت در خانه | مسواک زدن (۲ بار) و نخ دندان (۱ بار) | کنترل روزانه پلاک میکروبی |
پیشگیری | معاینات منظم شش ماهه | تشخیص زودهنگام و جلوگیری از بازگشت بیماری |
عوامل خطر | ترک سیگار و کنترل بیماری های سیستمیک | کاهش ریسک ابتلا و افزایش موفقیت درمان |
خدمات زیبایی کلینیک دندانپزشکی ترایدنتال:
- کامپوزیت دندان: اصلاح فرم و رنگ دندان ها در یک جلسه با مواد رزینی.
- لمینت دندان: پوسته های نازک سرامیکی برای ایجاد لبخندی زیبا و دائمی.
- ایمپلنت دندان: کاشت ریشه مصنوعی برای جایگزینی دائمی دندان از دست رفته.
- بلیچینگ دندان: روشی برای سفید کردن و روشن تر کردن رنگ طبیعی دندان ها.
- اصلاح طرح لبخند: مجموعه ای از درمان ها برای دستیابی به لبخندی زیبا و هماهنگ.
خدمات دندانپزشکی عمومی ترایدنتال:
- جرم گیری دندان: پاکسازی پلاک و جرم از روی دندان ها برای حفظ سلامت لثه.
- عصب کشی دندان: درمان ریشه دندان آسیب دیده برای رفع درد و حفظ دندان.
- ترمیم دندان: پر کردن پوسیدگی ها با مواد همرنگ دندان برای بازگرداندن عملکرد.
- روکش دندان: روکشی مقاوم و زیبا برای دندان های به شدت تخریب شده.
- جراحی دندان عقل: کشیدن دندان های عقل نهفته یا نیمه نهفته برای جلوگیری از مشکلات بعدی.
همین الان یک مشاوره رایگان با ما داشته باشید...
نتیجه گیری
این بیماری شایع، اگرچه در مراحل اولیه به راحتی قابل درمان است، اما بی توجهی به آن می تواند منجر به عواقب جدی تری مانند پریودنتیت، تحلیل لثه و حتی از دست دادن دندان شود. بهترین دندانپزشک زیبایی در تهران نیز تاکید دارد که سلامت لثه، پایه و اساس هر درمان زیبایی موفقی است. با رعایت یک برنامه منظم بهداشت دهان و دندان و انجام معاینات دوره ای، می توانید به راحتی از بروز التهاب لثه پیشگیری کرده و از لبخندی سالم و زیبا برای تمام عمر لذت ببرید. به یاد داشته باشید که سلامت لثه های شما، آینه سلامت عمومی بدنتان است.
سوالات متداول
آیا خونریزی لثه هنگام مسواک زدن همیشه نشانه التهاب لثه است؟
بله، در اکثر موارد، خونریزی لثه اولین و شایع ترین علامت ژنژیویت است. لثه سالم هرگز نباید به راحتی خونریزی کند.
چه مدت طول می کشد تا التهاب لثه پس از درمان بهبود یابد؟
با انجام جرم گیری حرفه ای و رعایت دقیق بهداشت دهان و دندان، علائم التهاب لثه معمولا طی یک تا دو هفته به طور کامل برطرف می شود. لمینت دندان چقدر دوام دارد؟ دوام لمینت نیز به سلامت لثه بستگی دارد.
آیا استفاده از مسواک برقی برای درمان التهاب لثه بهتر است؟
مسواک های برقی می توانند در حذف موثرتر پلاک کمک کننده باشند، اما یک مسواک دستی نیز اگر به روش صحیح استفاده شود، کاملا موثر است.
آیا کودکان نیز دچار التهاب لثه می شوند؟
بله، التهاب لثه در کودکان نیز به دلیل عدم رعایت صحیح بهداشت شایع است. اصول درمان و پیشگیری در آن ها مشابه بزرگسالان است. ترمیم دندان کودکان در صورت پوسیدگی ضروری است تا از التهاب لثه جلوگیری شود.
آیا استرس می تواند باعث التهاب لثه شود؟
استرس به طور مستقیم باعث التهاب لثه نمیشود، اما می تواند سیستم ایمنی بدن را تضعیف کرده و بدن را در مقابل عفونت های باکتریایی که منجر به التهاب لثه می شوند، آسیب پذیر تر کند.
آیا التهاب لثه می تواند باعث ایجاد فاصله بین دندان ها شود؟
در مرحله اولیه (ژنژیویت) خیر، اما اگر بیماری به پریودنتیت پیشرفت کند و استخوان نگهدارنده دندان تخریب شود، می تواند منجر به حرکت دندان ها و ایجاد فاصله بین دندان ها شود.
آیا برای درمان التهاب لثه همیشه نیاز به جراحی است؟
خیر، التهاب لثه در مرحله اولیه (ژنژیویت) هرگز نیاز به جراحی ندارد و با درمان های غیر جراحی مانند جرم گیری به طور کامل درمان می شود. جراحی فقط برای مراحل پیشرفته بیماری (پریودنتیت) ممکن است لازم باشد.
منابع
به اشتراک بگذارید!
به مشاوره نیاز دارید؟
جهت دریافت مشاوره رایگان و تعیین وقت حضوری با ما تماس بگیرید.


